The Contactin 2 Monoclonal Antibody (CAB5137) is a high-quality antibody developed for reliable detection and analysis of target proteins. This antibody, produced in mice, is highly specific for detecting Contactin-2 in human samples and has been validated for use in applications such as immunohistochemistry and flow cytometry.Contactin-2 is known for its roles in axon guidance, neuronal migration, and synapse formation, making it an essential target for studies in neurobiology and developmental biology.
This antibody is validated for use in WB, ELISA applications and has demonstrated reactivity against Human, Mouse samples.
Product Name:
Contactin 2 Monoclonal Antibody
SKU:
CAB5137
Size:
20μL, 100μL
Reactivity:
Human, Mouse
Clone Number:
ARC1984
Conjugate:
Unconjugated
Immunogen:
Synthetic peptide. This information is considered to be commercially sensitive.
Recommended starting concentration is 1 μg/mL. Please optimize the concentration based on your specific assay requirements.
Synonyms:
AXT, TAX, TAX1, FAME5, TAG-1, Contactin 2
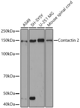
Positive Sample:
A-549, SH-SY5Y, U-251MG, Mouse spinal cord
Cellular Localization:
Cell Membrane, Gpi-Anchor, Lipid-Anchor.
Calculated MW:
113kDa
Observed MW:
150kDa
This gene encodes a member of the contactin family of proteins, part of the immunoglobulin superfamily of cell adhesion molecules. The encoded glycosylphosphatidylinositol (GPI)-anchored neuronal membrane protein plays a role in the proliferation, migration, and axon guidance of neurons of the developing cerebellum. A mutation in this gene may be associated with adult myoclonic epilepsy.
Purification Method
Affinity purification
Gene ID
6900
RRID
AB_2863462
Buffer Information
Store at -20℃. Avoid freeze / thaw cycles. Buffer: PBS containing 50% glycerol and 0.05% BSA, preserved with proclin300 or sodium azide, pH 7.3.
Western blot analysis of various lysates using Contactin 2 Rabbit mAb (CAB5137) at 1:1000 dilution. Secondary antibody: HRP-conjugated Goat anti-Rabbit IgG (H+L) (CABS014) at 1:10000 dilution. Lysates/proteins: 25μg per lane. Blocking buffer: 3% nonfat dry milk in TBST. Detection: ECL Basic Kit (AbGn00020). Exposure time: 90s.