The COPS7A Antibody (CAB8212) is a high-quality antibody developed for reliable detection and analysis of target proteins. This antibody, produced in rabbits, exhibits high specificity and sensitivity towards human samples, making it ideal for Western blot applications.COPS7A, a subunit of the COP9 signalosome complex, plays a crucial role in regulating the stability and activity of various proteins involved in cell growth and proliferation. Dysregulation of COPS7A has been implicated in the development of cancer and other diseases, making it a promising target for therapeutic intervention.
This antibody is validated for use in WB, ELISA applications and has demonstrated reactivity against Human, Mouse, Rat samples.
Product Name:
COPS7A Antibody
SKU:
CAB8212
Size:
20μL, 100μL
Reactivity:
Human, Mouse, Rat
Conjugate:
Unconjugated
Immunogen:
Recombinant protein (or fragment).This information is considered to be commercially sensitive.
Recommended starting concentration is 1 μg/mL. Please optimize the concentration based on your specific assay requirements.
Synonyms:
CSN7, CSN7A, SGN7a, COPS7A
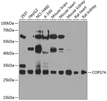
Positive Sample:
293T, HepG2, NCI-H460, A-549, Mouse brain, Mouse heart, Mouse kidney, Rat heart, Rat kidney
Cellular Localization:
Cytoplasm, Nucleus.
Calculated MW:
30kDa
Observed MW:
30kDa
This gene encodes a component of the COP9 signalosome, an evolutionarily conserved multi-subunit protease that regulates the activity of the ubiquitin conjugation pathway. Alternatively spliced transcript variants that encode the same protein have been described.
Purification Method
Affinity purification
Gene ID
50813
RRID
AB_2769009
Buffer Information
Store at -20℃. Avoid freeze / thaw cycles. Buffer: PBS containing 50% glycerol, preserved with proclin300 or sodium azide, pH 7.3.
Western blot analysis of various lysates using COPS7A Rabbit pAb (CAB8212) at 1:1000 dilution. Secondary antibody: HRP-conjugated Goat anti-Rabbit IgG (H+L) (CABS014) at 1:10000 dilution. Lysates/proteins: 25μg per lane. Blocking buffer: 3% nonfat dry milk in TBST. Detection: ECL Basic Kit (AbGn00020). Exposure time: 90s.