The CPA6 Antibody (CAB13644) is a high-quality antibody developed for reliable detection and analysis of target proteins. This antibody, produced in rabbits, shows high reactivity with human samples and is validated for use in Western blot applications. By binding to the CPA6 protein, this antibody allows for accurate detection and analysis in a variety of cell types, making it ideal for studies in metabolism, enzymology, and neuroscience research.CPA6 is a key enzyme involved in the breakdown of peptides, playing a crucial role in processes such as digestion and neurotransmitter regulation.
This antibody is validated for use in WB, IHC-P, ELISA applications and has demonstrated reactivity against Human, Mouse, Rat samples.
Product Name:
CPA6 Antibody
SKU:
CAB13644
Size:
20μL, 100μL
Reactivity:
Human, Mouse, Rat
Conjugate:
Unconjugated
Immunogen:
Recombinant protein (or fragment).This information is considered to be commercially sensitive.
The gene encodes a member of the peptidase M14 family of metallocarboxypeptidases. The encoded preproprotein is proteolytically processed to generate the mature enzyme, which catalyzes the release of large hydrophobic C-terminal amino acids. This enzyme has functions ranging from digestion of food to selective biosynthesis of neuroendocrine peptides. Mutations in this gene may be linked to epilepsy and febrile seizures, and a translocation t(6;8)(q26;q13) involving this gene has been associated with Duane retraction syndrome.
Purification Method
Affinity purification
Gene ID
57094
RRID
AB_2760506
Buffer Information
Store at -20℃. Avoid freeze / thaw cycles. Buffer: PBS containing 50% glycerol, preserved with proclin300 or sodium azide, pH 7.3.
Western blot analysis of various lysates using CPA6 Rabbit pAb (CAB13644) at 1:1000 dilution. Secondary antibody: HRP-conjugated Goat anti-Rabbit IgG (H+L) (CABS014) at 1:10000 dilution. Lysates/proteins: 25μg per lane. Blocking buffer: 3% nonfat dry milk in TBST. Detection: ECL Enhanced Kit (AbGn00021). Exposure time: 90s.
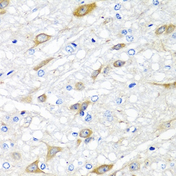
Immunohistochemistry analysis of paraffin-embedded Rat brain using CPA6 Rabbit pAb (CAB13644) at dilution of 1:100 (40x lens). Microwave antigen retrieval performed with 0.01M PBS Buffer (pH 7.2) prior to IHC staining.
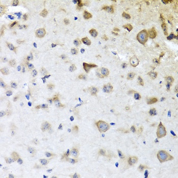
Immunohistochemistry analysis of paraffin-embedded Mouse brain using CPA6 Rabbit pAb (CAB13644) at dilution of 1:100 (40x lens). Microwave antigen retrieval performed with 0.01M PBS Buffer (pH 7.2) prior to IHC staining.