The CRIP2 Antibody (CAB9038) is a high-quality antibody developed for reliable detection and analysis of target proteins. This antibody, raised in rabbits, is highly specific to human samples and has been validated for use in Western blot applications. By binding to the CRIP2 protein, this antibody allows for accurate detection and analysis in a variety of cell types, making it suitable for studies in developmental biology and cancer research.CRIP2, also known as cysteine-rich protein 2, plays a crucial role in cellular processes such as cell adhesion, signaling, and differentiation. Its involvement in these pathways makes it a key player in various biological processes, including tissue regeneration and tumorigenesis.
This antibody is validated for use in WB, ELISA applications and has demonstrated reactivity against Human, Mouse, Rat samples.
Product Name:
CRIP2 Antibody
SKU:
CAB9038
Size:
20μL, 100μL
Reactivity:
Human, Mouse, Rat
Conjugate:
Unconjugated
Immunogen:
Recombinant protein (or fragment).This information is considered to be commercially sensitive.
Recommended starting concentration is 1 μg/mL. Please optimize the concentration based on your specific assay requirements.
Synonyms:
CRIP, CRP2, ESP1, CRIP2
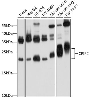
Positive Sample:
HeLa, HepG2, BT-474, HT-1080, Mouse brain, Mouse lung, Rat heart
Cellular Localization:
Cell Cortex.
Calculated MW:
22kDa
Observed MW:
22kDa
This gene encodes a putative transcription factor with two LIM zinc-binding domains. The encoded protein may participate in the differentiation of smooth muscle tissue. Alternative splicing results in multiple transcript variants.
Purification Method
Affinity purification
Gene ID
1397
RRID
AB_2769047
Buffer Information
Store at -20℃. Avoid freeze / thaw cycles. Buffer: PBS containing 50% glycerol, preserved with proclin300 or sodium azide, pH 7.3.
Western blot analysis of various lysates using CRIP2 Rabbit pAb (CAB9038) at 1:1000 dilution. Secondary antibody: HRP-conjugated Goat anti-Rabbit IgG (H+L) (CABS014) at 1:10000 dilution. Lysates/proteins: 25μg per lane. Blocking buffer: 3% nonfat dry milk in TBST. Detection: ECL Basic Kit (AbGn00020). Exposure time: 30s.