The CSRNP2 Polyclonal Antibody (CAB7549) is a valuable tool for researchers studying CSRNP2, a transcription factor involved in regulating gene expression and cell differentiation. This antibody, produced in rabbits, demonstrates high reactivity with human samples and has been validated for use in Western blot applications. By specifically binding to the CSRNP2 protein, this antibody facilitates the detection and analysis of CSRNP2 in various cell types, making it ideal for studies in developmental biology and cancer research.CSRNP2, also known as cysteine- and glycine-rich protein 2, plays a crucial role in controlling gene expression programs that influence cell fate decisions and tissue development.
Its involvement in cell differentiation processes makes it a promising target for investigations into stem cell biology and tissue regeneration. Understanding the function of CSRNP2 is essential for uncovering its contributions to normal development and disease states, offering potential insights for therapeutic interventions in regenerative medicine and cancer treatment.
Product Name:
CSRP2 Rabbit Polyclonal Antibody
SKU:
CAB7549
Size:
20uL, 100uL
Isotype:
IgG
Host Species:
Rabbit
Reactivity:
Human,Mouse
Immunogen:
Recombinant fusion protein containing a sequence corresponding to amino acids 1-193 of human CSRP2 (NP_001312.1).
CSRP2 is a member of the CSRP family of genes, encoding a group of LIM domain proteins, which may be involved in regulatory processes important for development and cellular differentiation. CRP2 contains two copies of the cysteine-rich amino acid sequence motif (LIM) with putative zinc-binding activity, and may be involved in regulating ordered cell growth. Other genes in the family include CSRP1 and CSRP3. Alternative splicing results in multiple transcript variants.
Purification Method:
Affinity purification
Gene ID:
1466
Storage Buffer:
Store at -20℃. Avoid freeze / thaw cycles.Buffer: PBS with 0.02% sodium azide,50% glycerol,pH7.3.
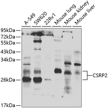
Western blot analysis of extracts of various cell lines, using CSRP2 antibody (CAB7549) at 1:1000 dilution.Secondary antibody: HRP Goat Anti-Rabbit IgG (H+L) (CABS014) at 1:10000 dilution.Lysates/proteins: 25μg per lane.Blocking buffer: 3% nonfat dry milk in TBST.Detection: ECL Basic Kit (AbGn00020).Exposure time: 90s.