The CTNNA3 Antibody (CAB16519) is a high-quality antibody developed for reliable detection and analysis of target proteins. This antibody, generated in rabbits, exhibits high specificity and sensitivity in detecting CTNNA3 in various biological samples, particularly human tissues. Validated for use in Western blot applications, it efficiently binds to the CTNNA3 protein, enabling precise analysis and visualization in a variety of cell types.CTNNA3, also known as alpha-T catenin, is crucial for maintaining tissue integrity and regulating cellular processes such as cell migration and differentiation.
This antibody is validated for use in WB, IHC-P, IF/ICC, ELISA applications and has demonstrated reactivity against Human, Mouse, Rat samples.
Product Name:
CTNNA3 Antibody
SKU:
CAB16519
Size:
20μL, 100μL
Reactivity:
Human, Mouse, Rat
Conjugate:
Unconjugated
Immunogen:
Recombinant protein (or fragment).This information is considered to be commercially sensitive.
Recommended starting concentration is 1 μg/mL. Please optimize the concentration based on your specific assay requirements.
Synonyms:
VR22, ARVD13, CTNNA3
Positive Sample:
LO2, 293T, Mouse spleen, Rat brain
Cellular Localization:
Cytoplasm, Cytoskeleton.
Calculated MW:
100kDa
Observed MW:
120kDa
This gene encodes a protein that belongs to the vinculin/alpha-catenin family. The encoded protein plays a role in cell-cell adhesion in muscle cells. Mutations in this gene are associated with arrhythmogenic right ventricular dysplasia, familial 13. Alternative splicing results in multiple transcript variants.
Purification Method
Affinity purification
Gene ID
29119
RRID
AB_2769077
Buffer Information
Store at -20℃. Avoid freeze / thaw cycles. Buffer: PBS with 0.01% thimerosal,50% glycerol,pH7.3.
Western blot analysis of various lysates using CTNNA3 Rabbit pAb (CAB16519) at 1:1000 dilution. Secondary antibody: HRP-conjugated Goat anti-Rabbit IgG (H+L) (CABS014) at 1:10000 dilution. Lysates/proteins: 25μg per lane. Blocking buffer: 3% nonfat dry milk in TBST. Detection: ECL Basic Kit (AbGn00020). Exposure time: 5s.
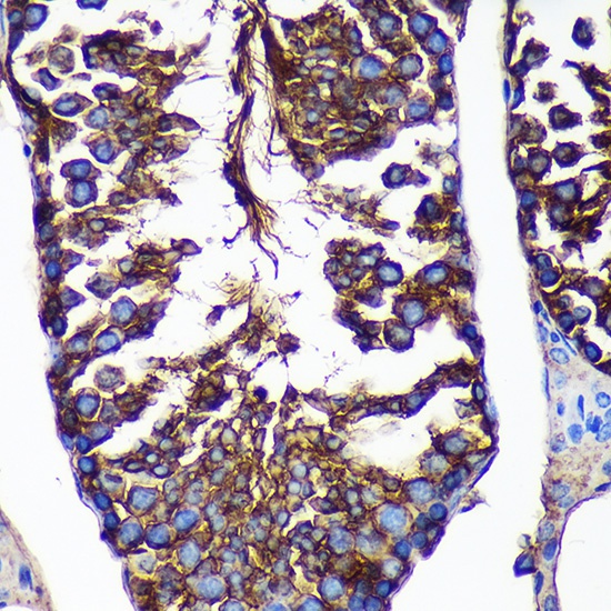
Immunohistochemistry analysis of paraffin-embedded Mouse testis using CTNNA3 Rabbit pAb (CAB16519) at dilution of 1:100 (40x lens). Microwave antigen retrieval performed with 0.01M PBS Buffer (pH 7.2) prior to IHC staining.
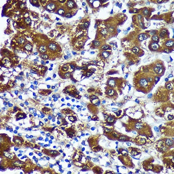
Immunohistochemistry analysis of paraffin-embedded Human liver cancer using CTNNA3 Rabbit pAb (CAB16519) at dilution of 1:100 (40x lens). Microwave antigen retrieval performed with 0.01M PBS Buffer (pH 7.2) prior to IHC staining.
Immunofluorescence analysis of L929 cells using CTNNA3 Rabbit pAb (CAB16519) at dilution of 1:100. Secondary antibody: Cy3-conjugated Goat anti-Rabbit IgG (H+L) (CABS007) at 1:500 dilution. Blue: DAPI for nuclear staining.