The Cullin 3 Antibody (CAB16455) is a high-quality antibody developed for reliable detection and analysis of target proteins. This antibody, generated in rabbits, displays high reactivity with human samples and has been validated for use in Western blot applications.CUL3 plays a crucial role in the ubiquitin-proteasome system, targeting specific proteins for degradation and thereby influencing various cellular processes such as cell cycle progression, signal transduction, and DNA repair. The CUL3 Polyclonal Antibody binds to the CUL3 protein, enabling accurate detection and analysis in a variety of cell types.
This antibody is validated for use in WB, IF/ICC, ELISA applications and has demonstrated reactivity against Human, Mouse, Rat samples.
Product Name:
Cullin 3 Antibody
SKU:
CAB16455
Size:
20μL, 100μL
Reactivity:
Human, Mouse, Rat
Conjugate:
Unconjugated
Immunogen:
Recombinant protein (or fragment).This information is considered to be commercially sensitive.
This gene encodes a member of the cullin protein family. The encoded protein plays a critical role in the polyubiquitination and subsequent degradation of specific protein substrates as the core component and scaffold protein of an E3 ubiquitin ligase complex. Complexes including the encoded protein may also play a role in late endosome maturation. Mutations in this gene are a cause of type 2E pseudohypoaldosteronism. Alternatively spliced transcript variants encoding multiple isoforms have been observed for this gene.
Purification Method
Affinity purification
Gene ID
8452
RRID
AB_2769082
Buffer Information
Store at -20℃. Avoid freeze / thaw cycles. Buffer: PBS with 0.01% thimerosal,50% glycerol,pH7.3.
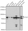
Western blot analysis of various lysates using Cullin 3 Rabbit pAb (CAB16455) at 1:1000 dilution. Secondary antibody: HRP-conjugated Goat anti-Rabbit IgG (H+L) (CABS014) at 1:10000 dilution. Lysates/proteins: 25μg per lane. Blocking buffer: 3% nonfat dry milk in TBST. Detection: ECL Basic Kit (AbGn00020). Exposure time: 30s.
Western blot analysis of various lysates using Cullin 3 Rabbit pAb (CAB16455) at 1:1000 dilution. Secondary antibody: HRP-conjugated Goat anti-Rabbit IgG (H+L) (CABS014) at 1:10000 dilution. Lysates/proteins: 25μg per lane. Blocking buffer: 3% nonfat dry milk in TBST. Detection: ECL Basic Kit (AbGn00020). Exposure time: 180s.