The CXCL12 Antibody (CAB1325) is a high-quality antibody developed for reliable detection and analysis of target proteins. Raised in rabbits, this antibody is highly specific and reactive with human samples, making it ideal for use in various research applications. CXCL12, also known as stromal cell-derived factor 1 (SDF-1), is involved in a wide range of biological processes, including immune cell trafficking, hematopoiesis, angiogenesis, and tissue repair. Its expression is associated with various diseases, including cancer, inflammation, and autoimmune disorders.
This antibody is validated for use in WB, IHC-P, IF/ICC, ELISA applications and has demonstrated reactivity against Human, Mouse, Rat samples.
Product Name:
CXCL12 Antibody
SKU:
CAB1325
Size:
20μL, 100μL
Reactivity:
Human, Mouse, Rat
Conjugate:
Unconjugated
Immunogen:
Synthetic peptide. This information is considered to be commercially sensitive.
Recommended starting concentration is 1 μg/mL. Please optimize the concentration based on your specific assay requirements.
Synonyms:
IRH, PBSF, SDF1, TLSF, TPAR1, SCYB12, CXCL12
Positive Sample:
Mouse kidney
Cellular Localization:
Secreted.
Calculated MW:
11kDa
Observed MW:
11kDa
This antimicrobial gene encodes a stromal cell-derived alpha chemokine member of the intercrine family. The encoded protein functions as the ligand for the G-protein coupled receptor, chemokine (C-X-C motif) receptor 4, and plays a role in many diverse cellular functions, including embryogenesis, immune surveillance, inflammation response, tissue homeostasis, and tumor growth and metastasis. Mutations in this gene are associated with resistance to human immunodeficiency virus type 1 infections. Multiple transcript variants encoding different isoforms have been found for this gene.
Purification Method
Affinity purification
Gene ID
6387
RRID
AB_2760102
Buffer Information
Store at -20℃. Avoid freeze / thaw cycles. Buffer: PBS with 0.09% sodium azide,50% glycerol,pH7.3.
Western blot analysis of lysates from Mouse kidney, using CXCL12 Rabbit pAb (CAB1325) at 1:1000 dilution. Secondary antibody: HRP-conjugated Goat anti-Rabbit IgG (H+L) (CABS014) at 1:10000 dilution. Lysates/proteins: 25μg per lane. Blocking buffer: 3% nonfat dry milk in TBST. Detection: ECL Enhanced Kit (AbGn00021). Exposure time: 180s.
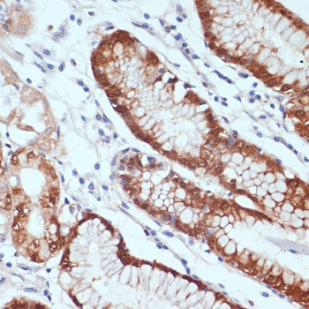
Immunohistochemistry analysis of paraffin-embedded Human stomach using CXCL12 Rabbit pAb (CAB1325) at dilution of 1:100 (40x lens). Microwave antigen retrieval performed with 0.01M PBS Buffer (pH 7.2) prior to IHC staining.
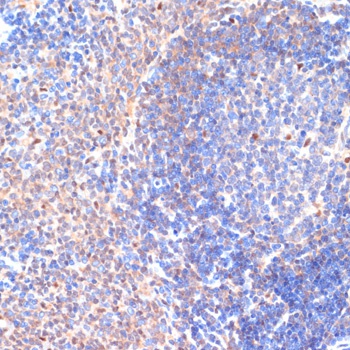
Immunohistochemistry analysis of paraffin-embedded Rat spleen using CXCL12 Rabbit pAb (CAB1325) at dilution of 1:100 (40x lens). Microwave antigen retrieval performed with 0.01M PBS Buffer (pH 7.2) prior to IHC staining.
Immunofluorescence analysis of THP-1 cells using CXCL12 Rabbit pAb (CAB1325) at dilution of 1:200. Secondary antibody: Cy3-conjugated Goat anti-Rabbit IgG (H+L) (CABS007) at 1:500 dilution. Blue: DAPI for nuclear staining.