The Cyclin C Antibody (CAB6545) is a high-quality antibody developed for reliable detection and analysis of target proteins. Cyclin C is an essential protein involved in the control of cell division, specifically in the G1 phase of the cell cycle. This antibody, produced in rabbits, is highly specific to human samples and has been validated for use in Western blot applications.By binding to cyclin C, this antibody enables precise detection and analysis of the protein in a variety of cell types, making it ideal for studies in cell biology and cancer research.
This antibody is validated for use in WB, IHC-P, ELISA applications and has demonstrated reactivity against Human, Mouse, Rat samples.
Product Name:
Cyclin C Antibody
SKU:
CAB6545
Size:
20μL, 100μL
Reactivity:
Human, Mouse, Rat
Conjugate:
Unconjugated
Immunogen:
Recombinant protein (or fragment).This information is considered to be commercially sensitive.
Recommended starting concentration is 1 μg/mL. Please optimize the concentration based on your specific assay requirements.
Synonyms:
CycC, SRB11, hSRB11, Cyclin C
Positive Sample:
MCF7, NIH/3T3, Mouse liver, Mouse kidney, Rat liver
Cellular Localization:
Nucleus.
Calculated MW:
33kDa
Observed MW:
26-33kDa
The protein encoded by this gene is a member of the cyclin family of proteins. The encoded protein interacts with cyclin-dependent kinase 8 and induces the phophorylation of the carboxy-terminal domain of the large subunit of RNA polymerase II. The level of mRNAs for this gene peaks in the G1 phase of the cell cycle. Two transcript variants encoding different isoforms have been found for this gene.
Purification Method
Affinity purification
Gene ID
892
RRID
AB_2767138
Buffer Information
Store at -20℃. Avoid freeze / thaw cycles. Buffer: PBS containing 50% glycerol, preserved with proclin300 or sodium azide, pH 7.3.
Western blot analysis of various lysates using Cyclin C Rabbit pAb (CAB6545) at 1:1000 dilution. Secondary antibody: HRP-conjugated Goat anti-Rabbit IgG (H+L) (CABS014) at 1:10000 dilution. Lysates/proteins: 25μg per lane. Blocking buffer: 3% nonfat dry milk in TBST. Detection: ECL Basic Kit (AbGn00020). Exposure time: 60s.
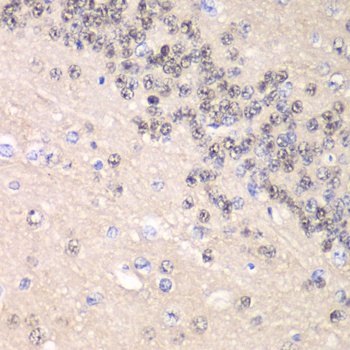
Immunohistochemistry analysis of paraffin-embedded Rat brain using Cyclin C Rabbit pAb (CAB6545) at dilution of 1:100 (40x lens). Microwave antigen retrieval performed with 0.01M PBS Buffer (pH 7.2) prior to IHC staining.
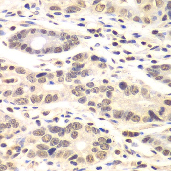
Immunohistochemistry analysis of paraffin-embedded Human colon carcinoma using Cyclin C Rabbit pAb (CAB6545) at dilution of 1:100 (40x lens). Microwave antigen retrieval performed with 0.01M PBS Buffer (pH 7.2) prior to IHC staining.