The Aromatase Antibody (CAB12684) is a high-quality antibody developed for reliable detection and analysis of target proteins. This antibody, generated in rabbits, exhibits high reactivity with human samples and has been validated for use in Western blot applications.CYP19A1 is a key enzyme involved in the conversion of androgens to estrogens, making it a crucial player in hormone regulation and estrogen production. Dysregulation of CYP19A1 has been associated with various diseases, including breast cancer and osteoporosis, making it an important target for research in endocrinology and oncology.
This antibody is validated for use in WB, IHC-P, IF/ICC, ELISA applications and has demonstrated reactivity against Human, Rat samples.
Product Name:
Aromatase Antibody
SKU:
CAB12684
Size:
20μL, 100μL
Reactivity:
Human, Rat
Conjugate:
Unconjugated
Immunogen:
Recombinant protein (or fragment).This information is considered to be commercially sensitive.
This gene encodes a member of the cytochrome P450 superfamily of enzymes. The cytochrome P450 proteins are monooxygenases which catalyze many reactions involved in drug metabolism and synthesis of cholesterol, steroids and other lipids. This protein localizes to the endoplasmic reticulum and catalyzes the last steps of estrogen biosynthesis. Mutations in this gene can result in either increased or decreased aromatase activity; the associated phenotypes suggest that estrogen functions both as a sex steroid hormone and in growth or differentiation. Alternative promoter use and alternative splicing results in multiple transcript variants that have different tissue specificities.
Purification Method
Affinity purification
Gene ID
1588
RRID
AB_2759529
Buffer Information
Store at -20℃. Avoid freeze / thaw cycles. Buffer: PBS with 0.09% Sodium azide,50% glycerol,pH7.3.
Western blot analysis of various lysates using Aromatase (CYP19A1) Rabbit pAb (CAB12684) at 1:3000 dilution. Secondary antibody: HRP-conjugated Goat anti-Rabbit IgG (H+L) (CABS014) at 1:10000 dilution. Lysates/proteins: 25μg per lane. Blocking buffer: 3% nonfat dry milk in TBST. Detection: ECL Basic Kit (AbGn00020). Exposure time: 20s.
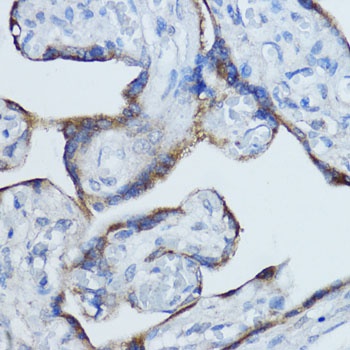
Immunohistochemistry analysis of paraffin-embedded Human placenta using Aromatase (CYP19A1) Rabbit pAb (CAB12684) at dilution of 1:100 (40x lens). Microwave antigen retrieval performed with 0.01M PBS Buffer (pH 7.2) prior to IHC staining.
Immunofluorescence analysis of HeLa cells using Aromatase (CYP19A1) Rabbit pAb (CAB12684) at dilution of 1:100 (40x lens). Secondary antibody: Cy3-conjugated Goat anti-Rabbit IgG (H+L) (CABS007) at 1:500 dilution. Blue: DAPI for nuclear staining.