The CYP51A1 Antibody (CAB13485) is a high-quality antibody developed for reliable detection and analysis of target proteins. This antibody, produced in rabbits, is highly specific to human samples and has been validated for use in Western blot applications. By binding to the CYP51A1 protein, this antibody enables accurate detection and analysis in a variety of cell types, making it an invaluable tool for research in pharmacology and drug development.CYP51A1 is an important enzyme in the biosynthesis of cholesterol and other sterols, making it a target for antifungal agents and potential therapies for hypercholesterolemia.
This antibody is validated for use in WB, IHC-P, IF/ICC, ELISA applications and has demonstrated reactivity against Human, Mouse, Rat samples.
Product Name:
CYP51A1 Antibody
SKU:
CAB13485
Size:
20μL, 100μL
Reactivity:
Human, Mouse, Rat
Conjugate:
Unconjugated
Immunogen:
Recombinant protein (or fragment).This information is considered to be commercially sensitive.
This gene encodes a member of the cytochrome P450 superfamily of enzymes. The cytochrome P450 proteins are monooxygenases which catalyze many reactions involved in drug metabolism and synthesis of cholesterol, steroids and other lipids. This endoplasmic reticulum protein participates in the synthesis of cholesterol by catalyzing the removal of the 14alpha-methyl group from lanosterol. Homologous genes are found in all three eukaryotic phyla, fungi, plants, and animals, suggesting that this is one of the oldest cytochrome P450 genes. Two transcript variants encoding different isoforms have been found for this gene.
Purification Method
Affinity purification
Gene ID
1595
RRID
AB_2760347
Buffer Information
Store at -20℃. Avoid freeze / thaw cycles. Buffer: PBS containing 50% glycerol, preserved with proclin300 or sodium azide, pH 7.3.
Western blot analysis of various lysates using CYP51A1 Rabbit pAb (CAB13485) at 1:1000 dilution. Secondary antibody: HRP-conjugated Goat anti-Rabbit IgG (H+L) (CABS014) at 1:10000 dilution. Lysates/proteins: 25μg per lane. Blocking buffer: 3% nonfat dry milk in TBST. Detection: ECL Basic Kit (AbGn00020). Exposure time: 60s.
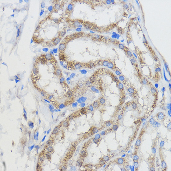
Immunohistochemistry analysis of paraffin-embedded Mouse kidney using CYP51A1 Rabbit pAb (CAB13485) at dilution of 1:50 (40x lens). Microwave antigen retrieval performed with 0.01M PBS Buffer (pH 7.2) prior to IHC staining.
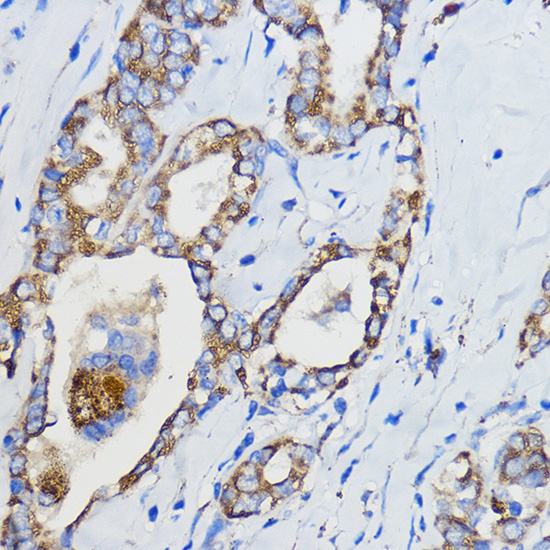
Immunohistochemistry analysis of paraffin-embedded Human thyroid cancer using CYP51A1 Rabbit pAb (CAB13485) at dilution of 1:50 (40x lens). Microwave antigen retrieval performed with 0.01M PBS Buffer (pH 7.2) prior to IHC staining.
Immunofluorescence analysis of L929 cells using CYP51A1 Rabbit pAb (CAB13485) at dilution of 100 (40x lens). Secondary antibody: Cy3-conjugated Goat anti-Rabbit IgG (H+L) (CABS007) at 1:500 dilution. Blue: DAPI for nuclear staining.