The DDR2 Antibody (CAB10060) is a high-quality antibody developed for reliable detection and analysis of target proteins. This antibody, produced in rabbits, exhibits high reactivity with human samples and is validated for use in Western blot applications. By binding specifically to the DDR2 protein, this antibody allows for accurate detection and analysis in a variety of cell types, making it ideal for investigations in the fields of fibrosis, cancer, and tissue remodeling.DDR2, a receptor for collagen and extracellular matrix proteins, plays a crucial role in cell migration, adhesion, and proliferation.
This antibody is validated for use in WB, ELISA applications and has demonstrated reactivity against Human, Mouse, Rat samples.
Product Name:
DDR2 Antibody
SKU:
CAB10060
Size:
20μL, 100μL
Reactivity:
Human, Mouse, Rat
Conjugate:
Unconjugated
Immunogen:
Recombinant protein (or fragment).This information is considered to be commercially sensitive.
Sequence:
NMFA KGVK IFKE VQCY FRSE ASEW EPNA ISFP LVLD DVNP SARF VTVP LHHR MASA IKCQ YHFA DTWM MFSE ITFQ SDAA MYNN SEAL PTSP MAPT TYDP MLKV DDSN TRI
Tested Applications:
WBELISA
Recommended Dilution:
WB
1:500 - 1:2000
ELISA
Recommended starting concentration is 1 μg/mL. Please optimize the concentration based on your specific assay requirements.
Cell Membrane, Single-Pass Type I Membrane Protein.
Calculated MW:
97kDa
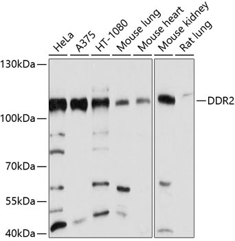
Observed MW:
110kDa
This gene encodes a member of the discoidin domain receptor subclass of the receptor tyrosine kinase (RTKs) protein family. RTKs play a key role in the communication of cells with their microenvironment. The encoded protein is a collagen-induced receptor that activates signal transduction pathways involved in cell adhesion, proliferation, and extracellular matrix remodeling. This protein is expressed in numerous cell types and may alos be involved in wound repair and regulate tumor growth and invasiveness. Mutations in this gene are the cause of short limb-hand type spondylometaepiphyseal dysplasia.
Purification Method
Affinity purification
Gene ID
4921
RRID
AB_2757582
Buffer Information
Store at -20℃. Avoid freeze / thaw cycles. Buffer: PBS containing 50% glycerol, preserved with proclin300 or sodium azide, pH 7.3.
Western blot analysis of various lysates using DDR2 Rabbit pAb (CAB10060) at 1:1000 dilution. Secondary antibody: HRP-conjugated Goat anti-Rabbit IgG (H+L) (CABS014) at 1:10000 dilution. Lysates/proteins: 25μg per lane. Blocking buffer: 3% nonfat dry milk in TBST. Detection: ECL Basic Kit (AbGn00020). Exposure time: 30s.