The DDX3Y Antibody (CAB11704) is a high-quality antibody developed for reliable detection and analysis of target proteins. Raised in rabbits, this antibody is highly specific to human samples and has been validated for use in Western blot applications. By binding to the DDX3Y protein, this antibody enables the detection and analysis of DDX3Y in various cell types, making it ideal for studies in virology, cancer research, and RNA biology.
This antibody is validated for use in WB, IHC-P, IF/ICC, ELISA applications and has demonstrated reactivity against Human, Mouse, Rat samples.
Product Name:
DDX3Y Antibody
SKU:
CAB11704
Size:
20μL, 100μL
Reactivity:
Human, Mouse, Rat
Conjugate:
Unconjugated
Immunogen:
Recombinant protein (or fragment).This information is considered to be commercially sensitive.
Recommended starting concentration is 1 μg/mL. Please optimize the concentration based on your specific assay requirements.
Synonyms:
DBY, DDX3Y
Positive Sample:
A-549, B cells, 293T, A-431, Mouse testis, Rat testis
Cellular Localization:
Cytoplasm, Nucleus.
Calculated MW:
73kDa
Observed MW:
73kDa
The protein encoded by this gene is a member of the DEAD-box RNA helicase family, characterized by nine conserved motifs, included the conserved Asp-Glu-Ala-Asp (DEAD) motif. These motifs are thought to be involved in ATP binding, hydrolysis, RNA binding, and in the formation of intramolecular interactions. This protein shares high similarity to DDX3X, on the X chromosome, but a deletion of this gene is not complemented by DDX3X. Mutations in this gene result in male infertility, a reduction in germ cell numbers, and can result in Sertoli-cell only sydrome. Pseudogenes sharing similarity to both this gene and the DDX3X paralog are found on chromosome 4 and the X chromosome. Alternative splicing results in multiple transcript variants encoding different isoforms.
Purification Method
Affinity purification
Gene ID
8653
RRID
AB_2758699
Buffer Information
Store at -20℃. Avoid freeze / thaw cycles. Buffer: PBS with 0.09% Sodium azide,50% glycerol,pH7.3.
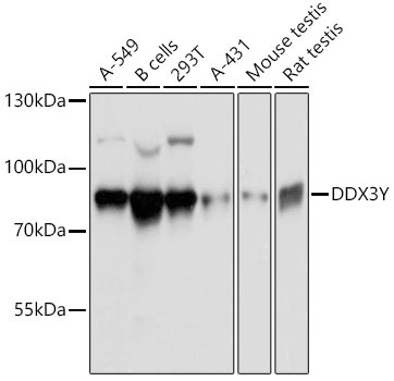
Western blot analysis of various lysates using DDX3Y Rabbit pAb (CAB11704) at 1:3000 dilution. Secondary antibody: HRP-conjugated Goat anti-Rabbit IgG (H+L) (CABS014) at 1:10000 dilution. Lysates/proteins: 25μg per lane. Blocking buffer: 3% nonfat dry milk in TBST. Detection: ECL Basic Kit (AbGn00020). Exposure time: 1s.
Immunohistochemistry analysis of paraffin-embedded Rat testis using DDX3Y Rabbit pAb (CAB11704) at dilution of 1:100 (40x lens). Microwave antigen retrieval performed with 0.01M PBS Buffer (pH 7.2) prior to IHC staining.
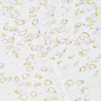
Immunohistochemistry analysis of paraffin-embedded Mouse brain using DDX3Y Rabbit pAb (CAB11704) at dilution of 1:100 (40x lens). Microwave antigen retrieval performed with 0.01M PBS Buffer (pH 7.2) prior to IHC staining.
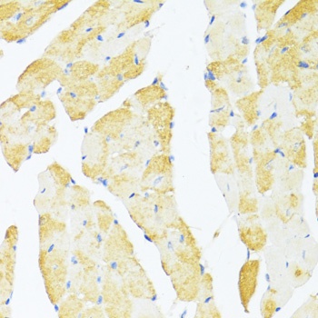
Immunohistochemistry analysis of paraffin-embedded Mouse heart using DDX3Y Rabbit pAb (CAB11704) at dilution of 1:100 (40x lens). Microwave antigen retrieval performed with 0.01M PBS Buffer (pH 7.2) prior to IHC staining.
Immunofluorescence analysis of L929 cells using DDX3Y Rabbit pAb (CAB11704) at dilution of 1:100 (40x lens). Secondary antibody: Cy3-conjugated Goat anti-Rabbit IgG (H+L) (CABS007) at 1:500 dilution. Blue: DAPI for nuclear staining.
Immunofluorescence analysis of U-2 OS cells using DDX3Y Rabbit pAb (CAB11704) at dilution of 1:100 (40x lens). Secondary antibody: Cy3-conjugated Goat anti-Rabbit IgG (H+L) (CABS007) at 1:500 dilution. Blue: DAPI for nuclear staining.