The DDX5 Antibody (CAB13294) is a high-quality antibody developed for reliable detection and analysis of target proteins. This antibody, generated in rabbits, exhibits high specificity for human samples and has been validated for use in Western blot applications.DDX5, also known as p68, plays a crucial role in various cellular processes, including RNA splicing, transcription, and translation. Dysregulation of DDX5 has been implicated in cancer progression and other diseases, making it a promising target for therapeutic interventions.
This antibody is validated for use in WB, IHC-P, ELISA applications and has demonstrated reactivity against Human, Mouse, Rat samples.
Product Name:
DDX5 Antibody
SKU:
CAB13294
Size:
20μL, 100μL
Reactivity:
Human, Mouse, Rat
Conjugate:
Unconjugated
Immunogen:
Recombinant protein (or fragment).This information is considered to be commercially sensitive.
Recommended starting concentration is 1 μg/mL. Please optimize the concentration based on your specific assay requirements.
Synonyms:
p68, HLR1, G17P1, HUMP68, DDX5
Positive Sample:
HepG2, 293T, SH-SY5Y, Jurkat, Mouse brain, Rat testis
Cellular Localization:
Nucleus, Nucleolus.
Calculated MW:
69kDa
Observed MW:
69kDa
This gene encodes a member of the DEAD box family of RNA helicases that are involved in a variety of cellular processes as a result of its role as an adaptor molecule, promoting interactions with a large number of other factors. This protein is involved in pathways that include the alteration of RNA structures, plays a role as a coregulator of transcription, a regulator of splicing, and in the processing of small noncoding RNAs. Members of this family contain nine conserved motifs, including the conserved Asp-Glu-Ala-Asp (DEAD) motif, important to ATP binding and hydrolysis as well as RNA binding and unwinding activities. Dysregulation of this gene may play a role in cancer development. Alternative splicing results in multiple transcript variants.
Purification Method
Affinity purification
Gene ID
1655
RRID
AB_2760153
Buffer Information
Store at -20℃. Avoid freeze / thaw cycles. Buffer: PBS containing 50% glycerol, preserved with proclin300 or sodium azide, pH 7.3.
Western blot analysis of various lysates using DDX5 Rabbit pAb (CAB13294) at 1:2000 dilution. Secondary antibody: HRP-conjugated Goat anti-Rabbit IgG (H+L) (CABS014) at 1:10000 dilution. Lysates/proteins: 25μg per lane. Blocking buffer: 3% nonfat dry milk in TBST. Detection: ECL Basic Kit (AbGn00020). Exposure time: 5s.
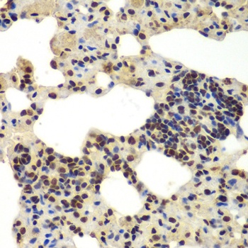
Immunohistochemistry analysis of paraffin-embedded Rat lung using DDX5 Rabbit pAb (CAB13294) at dilution of 1:100 (40x lens). Microwave antigen retrieval performed with 0.01M PBS Buffer (pH 7.2) prior to IHC staining.
Immunohistochemistry analysis of paraffin-embedded Mouse lung using DDX5 Rabbit pAb (CAB13294) at dilution of 1:100 (40x lens). Microwave antigen retrieval performed with 0.01M PBS Buffer (pH 7.2) prior to IHC staining.