The DHRS4 Antibody (CAB10285) is a high-quality antibody developed for reliable detection and analysis of target proteins. The antibody, generated in rabbits, exhibits high reactivity with human samples and has been validated for use in Western blot applications. By binding specifically to the DHRS4 protein, this antibody enables accurate detection and analysis in a variety of cell types, making it an essential component in studies related to metabolism, pharmacology, and endocrinology.DHRS4, also known as dehydrogenase/reductase SDR family member 4, plays a crucial role in the biosynthesis and degradation of retinoids and steroids, which are essential for various physiological functions including vision, reproduction, and immune response.
This antibody is validated for use in WB, ELISA applications and has demonstrated reactivity against Human, Mouse, Rat samples.
Product Name:
DHRS4 Antibody
SKU:
CAB10285
Size:
20μL, 100μL
Reactivity:
Human, Mouse, Rat
Conjugate:
Unconjugated
Immunogen:
Recombinant protein (or fragment).This information is considered to be commercially sensitive.
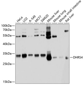
HeLa, LO2, A-549, MCF7, SW620, Mouse liver, Mouse lung, Mouse small intestine, Rat liver
Cellular Localization:
Nucleus, Peroxisome.
Calculated MW:
30kDa
Observed MW:
30kDa
Enables identical protein binding activity; oxidoreductase activity, acting on NAD(P)H, quinone or similar compound as acceptor; and oxidoreductase activity, acting on the CH-OH group of donors, NAD or NADP as acceptor. Involved in several processes, including cellular ketone metabolic process; positive regulation of reactive oxygen species metabolic process; and steroid metabolic process. Located in nucleus and peroxisomal membrane.
Purification Method
Affinity purification
Gene ID
10901
RRID
AB_2757827
Buffer Information
Store at -20℃. Avoid freeze / thaw cycles. Buffer: PBS containing 50% glycerol, preserved with proclin300 or sodium azide, pH 7.3.
Western blot analysis of various lysates using DHRS4 Rabbit pAb (CAB10285) at 1:1000 dilution. Secondary antibody: HRP-conjugated Goat anti-Rabbit IgG (H+L) (CABS014) at 1:10000 dilution. Lysates/proteins: 25μg per lane. Blocking buffer: 3% nonfat dry milk in TBST. Detection: ECL Basic Kit (AbGn00020). Exposure time: 1s.