The Smac/Diablo Antibody (CAB2564) is a high-quality antibody developed for reliable detection and analysis of target proteins. This antibody, produced in rabbits, exhibits high reactivity with human samples and is validated for use in Western blot applications. By specifically binding to the Diablo protein, researchers can effectively study its function and expression in various cell types, making it an ideal choice for studies in cell biology, cancer research, and apoptosis mechanisms.Diablo, also known as Smac (Second mitochondria-derived activator of caspases), plays a crucial role in the intrinsic pathway of apoptosis by promoting the activation of caspases and facilitating cell death.
This antibody is validated for use in WB, IHC-P, IP, ELISA applications and has demonstrated reactivity against Human, Mouse, Rat samples.
Product Name:
Smac/Diablo Antibody
SKU:
CAB2564
Size:
20μL, 100μL
Reactivity:
Human, Mouse, Rat
Conjugate:
Unconjugated
Immunogen:
Recombinant protein (or fragment).This information is considered to be commercially sensitive.
0.5μg-4μg antibody for 200μg-400μg extracts of whole cells
ELISA
Recommended starting concentration is 1 μg/mL. Please optimize the concentration based on your specific assay requirements.
Synonyms:
SMAC, DFNA64, Smac/Diablo
Positive Sample:
SW620, BT-474, Mouse spleen
Cellular Localization:
Mitochondrion.
Calculated MW:
27kDa
Observed MW:
18kDa
This gene encodes an inhibitor of apoptosis protein (IAP)-binding protein. The encoded mitochondrial protein enters the cytosol when cells undergo apoptosis, and allows activation of caspases by binding to inhibitor of apoptosis proteins. Overexpression of the encoded protein sensitizes tumor cells to apoptosis. A mutation in this gene is associated with young-adult onset of nonsyndromic deafness-64. Alternative splicing results in multiple transcript variants encoding different isoforms.
Purification Method
Affinity purification
Gene ID
56616
RRID
AB_2764452
Buffer Information
Store at -20℃. Avoid freeze / thaw cycles. Buffer: PBS with 0.09% Sodium azide,50% glycerol,pH7.3.
Western blot analysis of various lysates using Smac/Diablo Rabbit pAb (CAB2564) at 1:1000 dilution. Secondary antibody: HRP-conjugated Goat anti-Rabbit IgG (H+L) (CABS014) at 1:10000 dilution. Lysates/proteins: 25μg per lane. Blocking buffer: 3% nonfat dry milk in TBST.
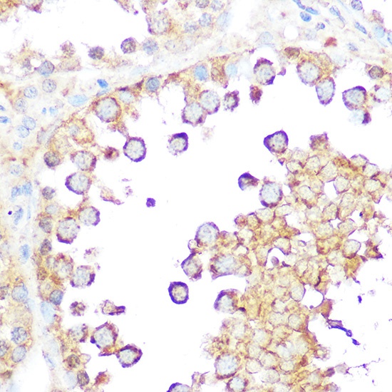
Immunohistochemistry analysis of paraffin-embedded Rat testis using Smac/Diablo Rabbit pAb (CAB2564) at dilution of 1:100 (40x lens). Microwave antigen retrieval performed with 0.01M Tris/EDTA Buffer (pH 9.0) prior to IHC staining.