The DiMethyl-Histone H4-K20 Antibody (CAB2371) is a high-quality antibody developed for reliable detection and analysis of target proteins. This antibody specifically targets the dimethylated form of histone H4 at lysine 20, a modification linked to gene regulation and chromatin structure. Raised in rabbits, this antibody is highly specific to human samples and has been validated for use in various applications, including Western blotting and immunofluorescence.Histone modifications, such as dimethylation of histone H4 at lysine 20, play a crucial role in regulating gene expression and chromatin organization. Dysregulation of these modifications has been associated with various diseases, including cancer and developmental disorders.
This antibody is validated for use in WB, IHC-P, IF/ICC, ELISA applications and has demonstrated reactivity against Human, Mouse, Rat, Other (Wide Range Predicted) samples.
Product Name:
DiMethyl-Histone H4-K20 Antibody
SKU:
CAB2371
Size:
20μL, 100μL
Reactivity:
Human, Mouse, Rat, Other (Wide Range Predicted)
Conjugate:
Unconjugated
Immunogen:
Synthetic peptide. This information is considered to be commercially sensitive.
Sequence:
Email for sequence
Tested Applications:
WBIHC-PIF/ICCELISA
Recommended Dilution:
WB
1:500 - 1:1000
IHC-P
1:50 - 1:200
IF/ICC
1:50 - 1:200
ELISA
Recommended starting concentration is 1 μg/mL. Please optimize the concentration based on your specific assay requirements.
Histones are basic nuclear proteins that are responsible for the nucleosome structure of the chromosomal fiber in eukaryotes. This structure consists of approximately 146 bp of DNA wrapped around a nucleosome, an octamer composed of pairs of each of the four core histones (H2A, H2B, H3, and H4). The chromatin fiber is further compacted through the interaction of a linker histone, H1, with the DNA between the nucleosomes to form higher order chromatin structures. This gene is intronless and encodes a replication-dependent histone that is a member of the histone H4 family. Transcripts from this gene lack polyA tails; instead, they contain a palindromic termination element. This gene is found in a histone cluster on chromosome 1. This gene is one of four histone genes in the cluster that are duplicated; this record represents the centromeric copy.
Purification Method
Affinity purification
Gene ID
8359
RRID
AB_2764331
Buffer Information
Store at -20℃. Avoid freeze / thaw cycles. Buffer: PBS containing 50% glycerol, preserved with proclin300 or sodium azide, pH 7.3.
Western blot analysis of various lysates using DiMethyl-Histone H4-K20 Rabbit pAb (CAB2371) at 1:1000 dilution. Secondary antibody: HRP-conjugated Goat anti-Rabbit IgG (H+L) (CABS014) at 1:10000 dilution. Lysates/proteins: 25μg per lane. Blocking buffer: 3% nonfat dry milk in TBST. Detection: ECL Basic Kit (AbGn00020). Exposure time: 30s.
Dot-blot analysis of all sorts of methylation peptides using DiMethyl-Histone H4-K20 antibody (CAB2371).
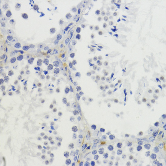
Immunohistochemistry analysis of paraffin-embedded Mouse testis using DiMethyl-Histone H4-K20 Rabbit pAb (CAB2371) at dilution of 1:200 (40x lens). Microwave antigen retrieval performed with 0.01M PBS Buffer (pH 7.2) prior to IHC staining.
Immunofluorescence analysis of 293T cells using DiMethyl-Histone H4-K20 Rabbit pAb (CAB2371). Blue: DAPI for nuclear staining.