The DIMT1 Antibody (CAB7589) is a high-quality antibody developed for reliable detection and analysis of target proteins. This antibody, produced in rabbits, exhibits high reactivity with human samples and has been validated for use in Western blot applications. By binding to the DIMT1 protein, this antibody enables accurate detection and analysis in a variety of cell types, making it ideal for studies in RNA biology and gene expression regulation.DIMT1, also known as dimerization and tRNA binding 1, plays a crucial role in catalyzing the formation of N6, N6-dimethyladenosine on tRNA, which is essential for proper translation and protein synthesis.
This antibody is validated for use in WB, ELISA applications and has demonstrated reactivity against Human, Mouse, Rat samples.
Product Name:
DIMT1 Antibody
SKU:
CAB7589
Size:
20μL, 100μL
Reactivity:
Human, Mouse, Rat
Conjugate:
Unconjugated
Immunogen:
Recombinant protein (or fragment).This information is considered to be commercially sensitive.
Recommended starting concentration is 1 μg/mL. Please optimize the concentration based on your specific assay requirements.
Synonyms:
DIM1, DIMT1L, HUSSY5, HSA9761, DIMT1
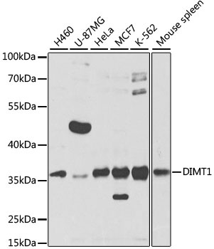
Positive Sample:
H460, U-87MG, HeLa, MCF7, K-562, Mouse spleen
Cellular Localization:
Nucleus, Nucleolus.
Calculated MW:
35kDa
Observed MW:
35kDa
The protein encoded by this gene is a methyltransferase that is responsible for dimethylation of adjacent adenosines near the 18S rRNA decoding site. The encoded protein is essential for ribosome biogenesis, although its catalytic activity is not involved in the process. The yeast ortholog of this protein functions in the cytoplasm while this protein functions in the nucleus.
Purification Method
Affinity purification
Gene ID
27292
RRID
AB_2768110
Buffer Information
Store at -20℃. Avoid freeze / thaw cycles. Buffer: PBS containing 50% glycerol, preserved with proclin300 or sodium azide, pH 7.3.
Western blot analysis of various lysates using DIMT1 Rabbit pAb (CAB7589) at 1:1000 dilution. Secondary antibody: HRP-conjugated Goat anti-Rabbit IgG (H+L) (CABS014) at 1:10000 dilution. Lysates/proteins: 25μg per lane. Blocking buffer: 3% nonfat dry milk in TBST. Detection: ECL Basic Kit (AbGn00020). Exposure time: 10s.