DKK1 Antibody is a premium polyclonal that offers outstanding performance and reliability for demanding research applications. Rigorously validated for ELISA, IHC, this antibody ensures consistent, reproducible results across multiple experimental platforms. Demonstrates excellent reactivity with Human, Mouse samples, providing researchers with confidence in cross-species compatibility. Conveniently packaged in 50ul format to meet your experimental needs. For optimal performance, store at -20°C or -80°C and maintains stability for 12 months. Backed by rigorous quality control testing to ensure superior performance in your critical research applications.
Product Name:
DKK1 Antibody
SKU:
PACO20814
Size:
50μl
Isotype:
IgG
Host Species:
Rabbit
Reactivity:
Human, Mouse
Immunogen:
Synthetic peptide of Human DKK1
Immunogen Species:
Homo sapiens (Human)
Uniprot No:
O94907
Form:
Liquid
Tested Applications:
ELISAIHC
Recommended Dilution:
Application
Recommended Dilution
ELISA
1:2000-1:5000
IHC
1:25-1:100
Target Names:
DKK1
Storage Buffer:
-20°C, pH7.4 PBS, 0.05% NaN3, 40% Glycerol
Purification:
Antigen affinity purification
Conjugate:
Non-conjugated
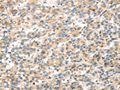
The image on the left is immunohistochemistry of paraffin-embedded Human liver cancer tissue using PACO20814 at dilution 1/35, on the right is treated with synthetic peptide. (Original magnification: ×200)
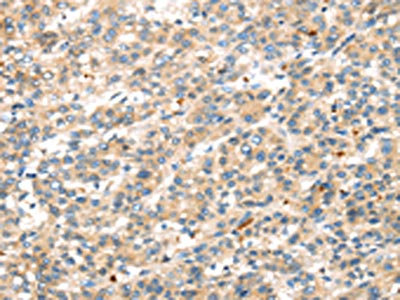
The image on the left is immunohistochemistry of paraffin-embedded Human brain tissue using PACO20814 at dilution 1/35, on the right is treated with synthetic peptide. (Original magnification: ×200)