The DLDH/DLD Antibody (CAB13296) is a high-quality antibody developed for reliable detection and analysis of target proteins. This antibody, raised in rabbits, is specifically designed for use in Western blot applications and is highly reactive with human samples.DLD, also known as dihydrolipoamide dehydrogenase, plays a crucial role in the citric acid cycle and electron transport chain, essential processes for generating ATP and cellular energy. Dysregulation of DLD activity has been linked to metabolic disorders, neurodegenerative diseases, and cancer, making it a promising target for therapeutic interventions.
This antibody is validated for use in WB, IHC-P, IF/ICC, ELISA applications and has demonstrated reactivity against Human, Mouse samples.
Product Name:
DLDH/DLD Antibody
SKU:
CAB13296
Size:
20μL, 100μL
Reactivity:
Human, Mouse
Conjugate:
Unconjugated
Immunogen:
Recombinant protein (or fragment).This information is considered to be commercially sensitive.
This gene encodes a member of the class-I pyridine nucleotide-disulfide oxidoreductase family. The encoded protein has been identified as a moonlighting protein based on its ability to perform mechanistically distinct functions. In homodimeric form, the encoded protein functions as a dehydrogenase and is found in several multi-enzyme complexes that regulate energy metabolism. However, as a monomer, this protein can function as a protease. Mutations in this gene have been identified in patients with E3-deficient maple syrup urine disease and lipoamide dehydrogenase deficiency. Alternative splicing results in multiple transcript variants.
Purification Method
Affinity purification
Gene ID
1738
RRID
AB_2760155
Buffer Information
Store at -20℃. Avoid freeze / thaw cycles. Buffer: PBS containing 50% glycerol, preserved with proclin300 or sodium azide, pH 7.3.
Western blot analysis of various lysates using DLDH/DLD Rabbit pAb (CAB13296) at 1:1000 dilution. Secondary antibody: HRP-conjugated Goat anti-Rabbit IgG (H+L) (CABS014) at 1:10000 dilution. Lysates/proteins: 25μg per lane. Blocking buffer: 3% nonfat dry milk in TBST. Detection: ECL Basic Kit (AbGn00020). Exposure time: 5s.
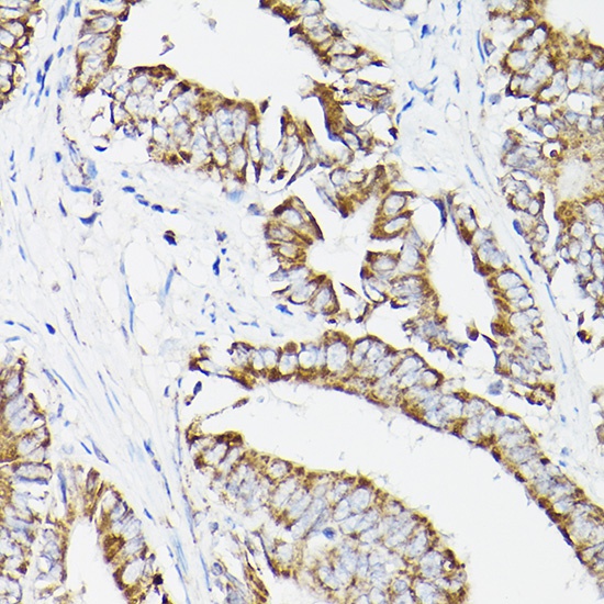
Immunohistochemistry analysis of paraffin-embedded Human colon carcinoma using DLDH/DLDH/DLDH/DLD Rabbit pAb (CAB13296) at dilution of 1:500 (40x lens). High pressure antigen retrieval performed with 0.01M Citrate buffer (pH 6.0) prior to IHC staining.
Immunofluorescence analysis of HeLa cells using DLDH/DLD Rabbit pAb (CAB13296). Secondary antibody: Cy3-conjugated Goat anti-Rabbit IgG (H+L) (CABS007) at 1:500 dilution. Blue: DAPI for nuclear staining.