DLEU7 Antibody is a premium polyclonal that offers outstanding performance and reliability for demanding research applications. Rigorously validated for IHC, ELISA, this antibody ensures consistent, reproducible results across multiple experimental platforms. Demonstrates excellent reactivity with Human samples, providing researchers with confidence in cross-species compatibility. Conveniently packaged in 50ug format to meet your experimental needs. For optimal performance, store at -20°C or -80°C and maintains stability for 12 months. Backed by rigorous quality control testing to ensure superior performance in your critical research applications.
Product Name:
DLEU7 Antibody
SKU:
PACO07390
Size:
50μg
Host Species:
Rabbit
Reactivity:
Human
Immunogen:
Synthetic peptide from Human protein at AA range: 51-100
Immunogen Species:
Homo sapiens (Human)
Uniprot No:
Q6UYE1
Form:
Liquid
Tested Applications:
IHCELISA
Recommended Dilution:
Application
Recommended Dilution
IHC
1:50-300
ELISA
1:10000-20000
Synonyms:
Deleted in lymphocytic leukemia 7 antibody, DLEU7 antibody, LEU7_HUMAN antibody, Leukemia-associated protein 7 antibody
Target Names:
DLEU7
Storage Buffer:
Liquid in PBS containing 50% glycerol, 0.5% BSA and 0.02% sodium azide.
Purification:
The antibody was affinity-purified from rabbit serum by affinity-chromatography using specific immunogen.
Conjugate:
Non-conjugated
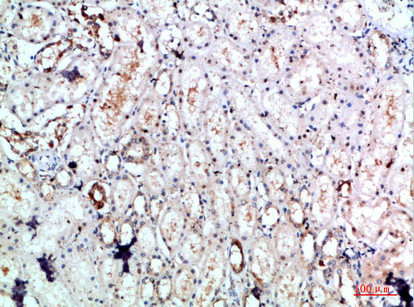
Immunohistochemical analysis of paraffin-embedded human-kidney, antibody was diluted at 1:200
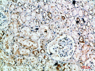
Immunohistochemical analysis of paraffin-embedded human-kidney, antibody was diluted at 1:200