The DYNC1I1 Antibody (CAB3833) is a high-quality antibody developed for reliable detection and analysis of target proteins. This antibody, produced in rabbits, exhibits high reactivity with human samples and has been validated for use in Western blot applications. By binding to the DYNC1I1 protein, this antibody allows for the detection and analysis of DYNC1I1 in various cell types, making it an ideal choice for studies in cell biology and neurology.DYNC1I1 is a key component of the dynein complex, which plays a crucial role in intracellular transport along microtubules.
This antibody is validated for use in WB, IHC-P, ELISA applications and has demonstrated reactivity against Human, Mouse, Rat samples.
Product Name:
DYNC1I1 Antibody
SKU:
CAB3833
Size:
20μL, 100μL
Reactivity:
Human, Mouse, Rat
Conjugate:
Unconjugated
Immunogen:
Recombinant protein (or fragment).This information is considered to be commercially sensitive.
Recommended starting concentration is 1 μg/mL. Please optimize the concentration based on your specific assay requirements.
Synonyms:
DNCI1, DNCIC1, DYNC1I1
Positive Sample:
Jurkat, SH-SY5Y, HeLa, Mouse testis, Mouse brain, Mouse skeletal muscle, Rat brain, Rat testis
Cellular Localization:
Chromosome, Cytoplasm, Centromere, Cytoskeleton, Kinetochore, Spindle Pole.
Calculated MW:
73kDa
Observed MW:
73kDa
Enables spectrin binding activity. Involved in vesicle transport along microtubule. Located in several cellular components, including kinetochore; recycling endosome; and spindle pole.
Purification Method
Affinity purification
Gene ID
1780
RRID
AB_2765333
Buffer Information
Store at -20℃. Avoid freeze / thaw cycles. Buffer: PBS containing 50% glycerol, preserved with proclin300 or sodium azide, pH 7.3.
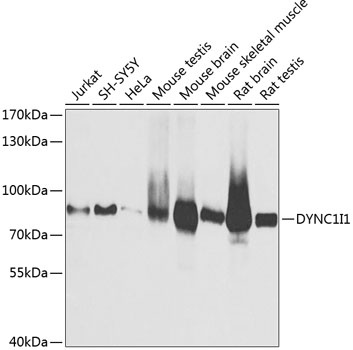
Western blot analysis of various lysates using DYNC1I1 Rabbit pAb (CAB3833) at 1:1000 dilution. Secondary antibody: HRP-conjugated Goat anti-Rabbit IgG (H+L) (CABS014) at 1:10000 dilution. Lysates/proteins: 25μg per lane. Blocking buffer: 3% nonfat dry milk in TBST. Detection: ECL Basic Kit (AbGn00020). Exposure time: 5s.
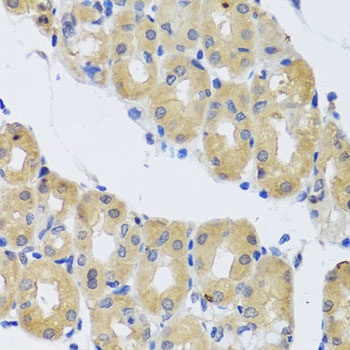
Immunohistochemistry analysis of paraffin-embedded Human stomach using DYNC1I1 Rabbit pAb (CAB3833) at dilution of 1:100 (40x lens). Microwave antigen retrieval performed with 0.01M PBS Buffer (pH 7.2) prior to IHC staining.