ECT2 Antibody is a premium polyclonal that offers outstanding performance and reliability for demanding research applications. Rigorously validated for ELISA, WB, IHC, IP, this antibody ensures consistent, reproducible results across multiple experimental platforms. Demonstrates excellent reactivity with Human samples, providing researchers with confidence in cross-species compatibility. Conveniently packaged in 50ug format to meet your experimental needs. For optimal performance, store at -20°C or -80°C and maintains stability for 12 months. Backed by rigorous quality control testing to ensure superior performance in your critical research applications.
Product Name:
ECT2 Antibody (PACO56222)
SKU:
PACO56222
Size:
50μg
Isotype:
IgG
Host Species:
Rabbit
Reactivity:
Human
Immunogen:
Recombinant Human Protein ECT2 protein (283-453AA)
Immunogen Species:
Homo sapiens (Human)
Uniprot No:
Q9H8V3
Form:
Liquid
Tested Applications:
ELISAWBIHCIP
Recommended Dilution:
WB 1:500-1:5000, IHC 1:500-1:1000, IP 1:200-1:2000
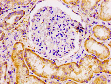
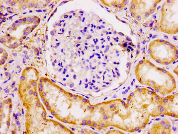
IHC image of PACO56222 diluted at 1:100 and staining in paraffin-embedded human kidney tissue performed on a Leica BondTM system. After dewaxing and hydration, antigen retrieval was mediated by high pressure in a citrate buffer (pH 6.0). Section was blocked with 10% normal goat serum 30min at RT. Then primary antibody (1% BSA) was incubated at 4°C overnight. The primary is detected by a biotinylated secondary antibody and visualized using an HRP conjugated SP system.
Immunoprecipitating ECT2 in Hela whole cell lysate Lane 1: Rabbit control IgG instead of PACO56222 in Hela whole cell lysate. For western blotting, a HRP-conjugated Protein G antibody was used as the secondary antibody (1/50000) Lane 2: PACO56222 (6µg) + Hela whole cell lysate (1mg) Lane 3: Hela whole cell lysate (20µg)
Western Blot Positive WB detected in: Hela whole cell lysate, A549 whole cell lysate, 293T whole cell lysate All lanes:ECT2 antibody at 2.7µg/ml Secondary Goat polyclonal to rabbit IgG at 1/50000 dilution Predicted band size: 104, 100, 109, 101 kDa Observed band size: 104 kDa