null
100% Quality Guarantee
PhD-Level Technical Support
Key Features

EEA1 Rabbit Polyclonal Antibody (CAB0592)

SKU CAB0592
Product Type Antibody
Antibody Type Polyclonal Antibody
Reactivity Human, Mouse, Rat
Host Species Rabbit
Synonyms MST105, ZFYVE2, MSTP105, EEA1
Research Use Cell Biology
€96 - €370
Global Shipping: 80+ Countries
White Glove Service: Available upon request
Batch Consistency: Contact Sales
Distributors: 60+ Countries

Description

system_update_altDatasheetsystem_update_altMSDS

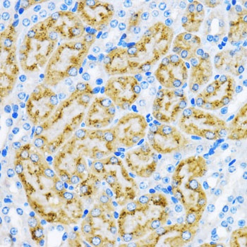
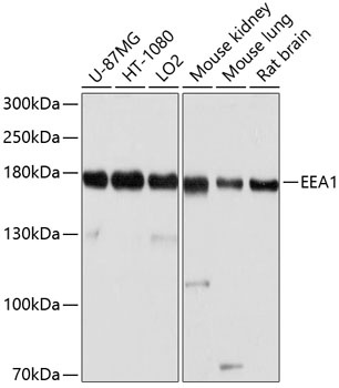
EEA1 Antibody (CAB0592)

The EEA1 Antibody (CAB0592) is a high-quality antibody developed for reliable detection and analysis of target proteins. This antibody, raised in rabbits, is highly specific to the Early Endosome Antigen 1 (EEA1) protein and has been rigorously validated for use in various applications, including immunofluorescence and immunohistochemistry.EEA1 is a key component of the early endosome compartment, playing a crucial role in sorting and trafficking of endocytic vesicles. Its involvement in membrane fusion events and signaling cascades makes it a target of interest in studies of cellular transport processes and intracellular trafficking pathways. The EEA1 Polyclonal Antibody enables precise detection and visualization of EEA1 protein in different cell types and tissues, providing valuable insights into endosomal dynamics and organelle interactions.

This antibody is validated for use in WB, IHC-P, ELISA applications and has demonstrated reactivity against Human, Mouse, Rat samples.

0 Reviews

0
Based on 0 reviews

No reviews yet. Be the first to share your experience!

View AllClose