The EGFR (L858R) Monoclonal Antibody (CAB5031) is a high-quality antibody developed for reliable detection and analysis of target proteins. This antibody, generated in rabbits, is highly specific and sensitive for detecting the EGFR L858R mutation in human samples using techniques such as immunohistochemistry and Western blot.The EGFR L858R mutation is known to drive tumorigenesis and cancer progression in non-small cell lung cancer, making it a critical target for therapeutic intervention. By using the EGFR L858R Rabbit Monoclonal Antibody, researchers can accurately detect and analyze the presence of this mutation in cancer samples, aiding in the development of targeted therapies and personalized treatment strategies for patients with EGFR L858R-mutated tumors.
This antibody is validated for use in WB, IHC-P, ELISA applications and has demonstrated reactivity against Human, Mouse samples.
Product Name:
EGFR (L858R) Monoclonal Antibody
SKU:
CAB5031
Size:
20μL, 100μL
Reactivity:
Human, Mouse
Clone Number:
ARC1139
Conjugate:
Unconjugated
Immunogen:
Synthetic peptide. This information is considered to be commercially sensitive.
Cell Membrane, Endoplasmic Reticulum Membrane, Endosome, Endosome Membrane, Golgi Apparatus Membrane, Nucleus Membrane, Nucleus, Secreted, Single-Pass Type I Membrane Protein.
Calculated MW:
134kDa
Observed MW:
175kDa
The protein encoded by this gene is a transmembrane glycoprotein that is a member of the protein kinase superfamily. This protein is a receptor for members of the epidermal growth factor family. EGFR is a cell surface protein that binds to epidermal growth factor, thus inducing receptor dimerization and tyrosine autophosphorylation leading to cell proliferation. Mutations in this gene are associated with lung cancer. EGFR is a component of the cytokine storm which contributes to a severe form of Coronavirus Disease 2019 (COVID-19) resulting from infection with severe acute respiratory syndrome coronavirus-2 (SARS-CoV-2).
Purification Method
Affinity purification
Gene ID
1956
RRID
AB_2863421
Buffer Information
Store at -20℃. Avoid freeze / thaw cycles. Buffer: PBS containing 50% glycerol and 0.05% BSA, preserved with proclin300 or sodium azide, pH 7.3.
Western blot analysis of lysates from Mouse brain , using EGFR (L858R) Rabbit mAb (CAB5031) at 1:500 dilution. Secondary antibody: HRP-conjugated Goat anti-Rabbit IgG (H+L) (CABS014) at 1:10000 dilution. Lysates/proteins: 25μg per lane. Blocking buffer: 3% nonfat dry milk in TBST. Detection: ECL Enhanced Kit (AbGn00021). Exposure time: 3min.
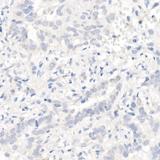
Immunohistochemistry analysis of paraffin-embedded Human lung adenocarcinoma (egfr-l858r negative sample) using EGFR (L858R) Rabbit mAb (CAB5031) at dilution of 1:100 (40x lens). High pressure antigen retrieval performed with 0.01M Citrate buffer (pH 6.0) prior to IHC staining.
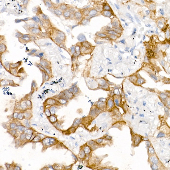
Immunohistochemistry analysis of paraffin-embedded Human lung adenocarcinoma (egfr-l858r positive sample) using EGFR (L858R) Rabbit mAb (CAB5031) at dilution of 1:100 (40x lens). High pressure antigen retrieval performed with 0.01M Citrate buffer (pH 6.0) prior to IHC staining.
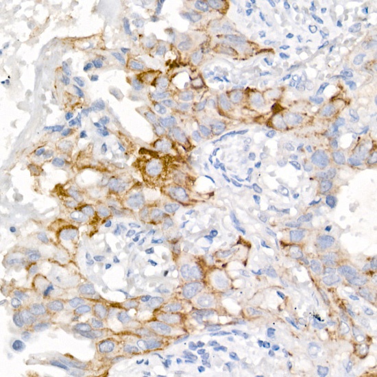
Immunohistochemistry analysis of paraffin-embedded Human lung adenocarcinoma (egfr-l858r positive sample) using EGFR (L858R) Rabbit mAb (CAB5031) at dilution of 1:100 (40x lens). High pressure antigen retrieval performed with 0.01M Citrate buffer (pH 6.0) prior to IHC staining.