The EIF2S2 Antibody (CAB17040) is a high-quality antibody developed for reliable detection and analysis of target proteins. This rabbit polyclonal antibody is highly specific for EIF2S2 and is suitable for use in Western blot applications. By binding to EIF2S2, researchers can detect and analyze protein levels in various cell types, enabling insights into the role of EIF2S2 in cellular processes.EIF2S2 is essential for the initiation of protein translation in response to cellular stress, making it a crucial player in the regulation of protein synthesis.
This antibody is validated for use in WB, ELISA applications and has demonstrated reactivity against Human, Mouse, Rat samples.
Product Name:
EIF2S2 Antibody
SKU:
CAB17040
Size:
20μL, 100μL
Reactivity:
Human, Mouse, Rat
Immunogen:
Recombinant protein (or fragment).This information is considered to be commercially sensitive.
Eukaryotic translation initiation factor 2 (EIF-2) functions in the early steps of protein synthesis by forming a ternary complex with GTP and initiator tRNA and binding to a 40S ribosomal subunit. EIF-2 is composed of three subunits, alpha, beta, and gamma, with the protein encoded by this gene representing the beta subunit. The beta subunit catalyzes the exchange of GDP for GTP, which recycles the EIF-2 complex for another round of initiation. Multiple transcript variants encoding different isoforms have been found for this gene.
Purification Method
Affinity purification
Gene ID
8894
RRID
AB_2769291
Buffer Information
Store at -20℃. Avoid freeze / thaw cycles. Buffer: PBS with 0.01% thimerosal,50% glycerol,pH7.3.
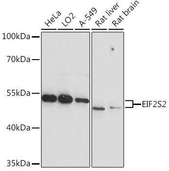
Western blot analysis of various lysates using EIF2S2 Rabbit pAb (CAB17040) at 1:3000 dilution. Secondary antibody: HRP-conjugated Goat anti-Rabbit IgG (H+L) (CABS014) at 1:10000 dilution. Lysates/proteins: 25μg per lane. Blocking buffer: 3% nonfat dry milk in TBST. Detection: ECL Basic Kit (AbGn00020). Exposure time: 60s.