The EIF2S3 Antibody (CAB6581) is a high-quality antibody developed for reliable detection and analysis of target proteins. This antibody, produced in rabbits, is highly specific to human samples and has been validated for use in Western blot applications. By binding to EIF2S3, researchers can effectively detect and analyze this crucial protein in various cell types, making it ideal for studies in molecular biology, cell signaling, and gene expression regulation. EIF2S3, also known as eukaryotic translation initiation factor 2 subunit 3, plays a vital role in the initiation of protein synthesis by promoting the formation of the translation pre-initiation complex.
This antibody is validated for use in WB, IHC-P, ELISA applications and has demonstrated reactivity against Human, Mouse, Rat samples.
Product Name:
EIF2S3 Antibody
SKU:
CAB6581
Size:
20μL, 100μL
Reactivity:
Human, Mouse, Rat
Conjugate:
Unconjugated
Immunogen:
Recombinant protein (or fragment).This information is considered to be commercially sensitive.
The protein encoded by this gene is the largest subunit of a heterotrimeric GTP-binding protein involved in the recruitment of methionyl-tRNA(i) to the 40 S ribosomal subunit.
Purification Method
Affinity purification
Gene ID
1968
RRID
AB_2767174
Buffer Information
Store at -20℃. Avoid freeze / thaw cycles. Buffer: PBS with 0.09% Sodium azide,50% glycerol,pH7.3.
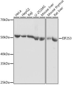
Western blot analysis of various lysates using EIF2S3 Rabbit pAb (CAB6581) at 1:1000 dilution. Secondary antibody: HRP-conjugated Goat anti-Rabbit IgG (H+L) (CABS014) at 1:10000 dilution. Lysates/proteins: 25μg per lane. Blocking buffer: 3% nonfat dry milk in TBST. Detection: ECL Basic Kit (AbGn00020). Exposure time: 10s.
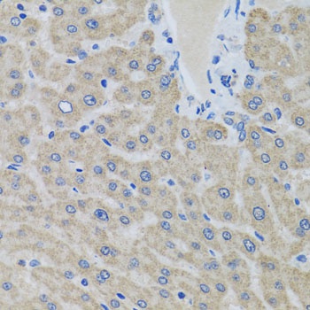
Immunohistochemistry analysis of paraffin-embedded Human liver using EIF2S3 Rabbit pAb (CAB6581) at dilution of 1:100 (40x lens). Microwave antigen retrieval performed with 0.01M PBS Buffer (pH 7.2) prior to IHC staining.
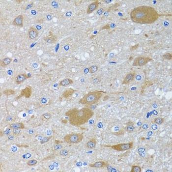
Immunohistochemistry analysis of paraffin-embedded Rat brain using EIF2S3 Rabbit pAb (CAB6581) at dilution of 1:100 (40x lens). Microwave antigen retrieval performed with 0.01M PBS Buffer (pH 7.2) prior to IHC staining.