The EIF3J Antibody (CAB8637) is a high-quality antibody developed for reliable detection and analysis of target proteins. This antibody, produced in rabbits, is highly specific to human samples and has been validated for use in Western blot applications. By targeting EIF3J, this antibody allows for the detection and analysis of the protein in various cell types, making it ideal for studies in molecular biology and cancer research.EIF3J is a crucial component of the eIF3 complex, which plays a key role in protein synthesis by mediating the recruitment of ribosomes to mRNA.
This antibody is validated for use in WB, IF/ICC, ELISA applications and has demonstrated reactivity against Human, Mouse, Rat samples.
Product Name:
EIF3J Antibody
SKU:
CAB8637
Size:
20μL, 100μL
Reactivity:
Human, Mouse, Rat
Conjugate:
Unconjugated
Immunogen:
Recombinant protein (or fragment).This information is considered to be commercially sensitive.
This gene encodes a core subunit of the eukaryotic initiation factor 3 complex, which participates in the initiation of translation by aiding in the recruitment of protein and mRNA components to the 40S ribosome. There are pseudogenes for this gene on chromosomes 1, 3, and 9. Alternative splicing results in multiple transcript variants encoding different isoforms.
Purification Method
Affinity purification
Gene ID
8669
RRID
AB_2769292
Buffer Information
Store at -20℃. Avoid freeze / thaw cycles. Buffer: PBS with 0.01% thimerosal,50% glycerol,pH7.3.
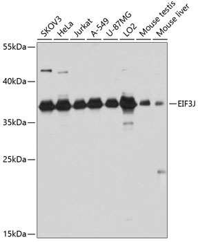
Western blot analysis of various lysates using EIF3J Rabbit pAb (CAB8637) at 1:3000 dilution. Secondary antibody: HRP-conjugated Goat anti-Rabbit IgG (H+L) (CABS014) at 1:10000 dilution. Lysates/proteins: 25μg per lane. Blocking buffer: 3% nonfat dry milk in TBST. Detection: ECL Basic Kit (AbGn00020). Exposure time: 10s.
Immunofluorescence analysis of HeLa cells using EIF3J Rabbit pAb (CAB8637) at dilution of 1:100. Secondary antibody: Cy3-conjugated Goat anti-Rabbit IgG (H+L) (CABS007) at 1:500 dilution. Blue: DAPI for nuclear staining.
Immunofluorescence analysis of PC-12 cells using EIF3J Rabbit pAb (CAB8637) at dilution of 1:100. Secondary antibody: Cy3-conjugated Goat anti-Rabbit IgG (H+L) (CABS007) at 1:500 dilution. Blue: DAPI for nuclear staining.