The EIF3L Polyclonal Antibody (CAB9972) is a valuable tool for researchers studying EIF3L, a key protein involved in protein translation and gene regulation. This antibody, generated in rabbits, is highly specific to human samples and has been validated for use in Western blot applications. By binding to EIF3L, this antibody allows for the detection and analysis of EIF3L levels in various cell types, making it a versatile tool for studies in molecular biology and cancer research.EIF3L is a subunit of the eukaryotic translation initiation factor 3 (eIF3) complex, which plays a crucial role in the initiation of protein synthesis.
Dysregulation of EIF3L has been implicated in various diseases, including cancer and neurological disorders. Understanding the function and regulation of EIF3L is essential for developing targeted therapies and unraveling the mechanisms underlying these diseases. The EIF3L Polyclonal Antibody is a valuable resource for researchers aiming to elucidate the role of EIF3L in health and disease.
Product Name:
EIF3L Rabbit Polyclonal Antibody
SKU:
CAB9972
Size:
20uL, 100uL
Isotype:
IgG
Host Species:
Rabbit
Reactivity:
Human,Mouse,Rat
Immunogen:
Recombinant fusion protein containing a sequence corresponding to amino acids 1-230 of human EIF3L (NP_057175.1).
Enables RNA binding activity. Contributes to translation initiation factor activity. Involved in translational initiation and viral translational termination-reinitiation. Located in membrane. Part of eukaryotic translation initiation factor 3 complex.
Purification Method:
Affinity purification
Gene ID:
51386
Storage Buffer:
Store at -20℃. Avoid freeze / thaw cycles.Buffer: PBS with 0.02% sodium azide,50% glycerol,pH7.3.
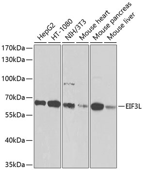
Western blot analysis of various lysates using EIF3L Rabbit pAb (CAB9972) at 1:1000 dilution.Secondary antibody: HRP Goat Anti-Rabbit IgG (H+L) (CABS014) at 1:10000 dilution.Lysates/proteins: 25μg per lane.Blocking buffer: 3% nonfat dry milk in TBST.Detection: ECL Basic Kit (AbGn00020).Exposure time: 5s.