The eIF5A Antibody (CAB2016) is a high-quality antibody developed for reliable detection and analysis of target proteins. This antibody, raised in rabbits, is highly specific to human eIF5A and is validated for use in Western blot applications. By binding to eIF5A, this antibody allows for the detection and analysis of the protein in various cell types, making it an ideal choice for studies in molecular biology and cancer research.eIF5A is known to play a crucial role in the translation of specific proteins that are essential for cell growth and differentiation.
This antibody is validated for use in WB, IHC-P, IF/ICC, ELISA applications and has demonstrated reactivity against Human, Mouse samples.
Product Name:
eIF5A Antibody
SKU:
CAB2016
Size:
20μL, 100μL
Reactivity:
Human, Mouse
Conjugate:
Unconjugated
Immunogen:
Recombinant protein (or fragment).This information is considered to be commercially sensitive.
Enables U6 snRNA binding activity and protein N-terminus binding activity. Involved in several processes, including cellular response to virus; positive regulation of intrinsic apoptotic signaling pathway by p53 class mediator; and tumor necrosis factor-mediated signaling pathway. Located in annulate lamellae; cytoplasm; and nucleus. Part of nuclear pore.
Purification Method
Affinity purification
Gene ID
1984
RRID
AB_2764040
Buffer Information
Store at -20℃. Avoid freeze / thaw cycles. Buffer: PBS containing 50% glycerol, preserved with proclin300 or sodium azide, pH 7.3.
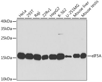
Western blot analysis of various lysates using eIF5A Rabbit pAb (CAB2016) at 1:1000 dilution. Secondary antibody: HRP-conjugated Goat anti-Rabbit IgG (H+L) (CABS014) at 1:10000 dilution. Lysates/proteins: 25μg per lane. Blocking buffer: 3% nonfat dry milk in TBST.
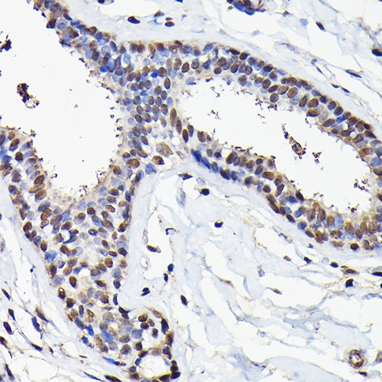
Immunohistochemistry analysis of paraffin-embedded Human breast cancer using eIF5A Rabbit pAb (CAB2016) at dilution of 1:20 (40x lens). High pressure antigen retrieval performed with 0.01M Citrate buffer (pH 6.0) prior to IHC staining.