The eIF5A Monoclonal Antibody (CAB4414) is a high-quality antibody developed for reliable detection and analysis of target proteins. This antibody, produced in rabbits, is highly specific to EIF5A and is ideal for use in Western blot applications. It allows for the detection and analysis of EIF5A in various cell types, making it a key component in studies related to cancer research and protein synthesis mechanisms.EIF5A is known to play a critical role in cell proliferation, differentiation, and migration, making it a key player in processes such as tumorigenesis and metastasis.
This antibody is validated for use in WB, ELISA applications and has demonstrated reactivity against Human, Mouse, Rat samples.
Product Name:
eIF5A Monoclonal Antibody
SKU:
CAB4414
Size:
20μL, 100μL
Reactivity:
Human, Mouse, Rat
Clone Number:
ARC0999
Conjugate:
Unconjugated
Immunogen:
Synthetic peptide. This information is considered to be commercially sensitive.
Enables U6 snRNA binding activity and protein N-terminus binding activity. Involved in several processes, including cellular response to virus; positive regulation of intrinsic apoptotic signaling pathway by p53 class mediator; and tumor necrosis factor-mediated signaling pathway. Located in annulate lamellae; cytoplasm; and nucleus. Part of nuclear pore.
Purification Method
Affinity purification
Gene ID
1984
RRID
AB_2863269
Buffer Information
Store at -20℃. Avoid freeze / thaw cycles. Buffer: PBS containing 50% glycerol and 0.05% BSA, preserved with proclin300 or sodium azide, pH 7.3.
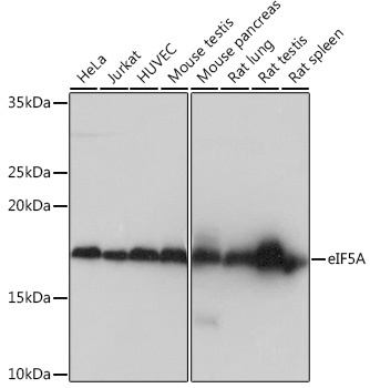
Western blot analysis of various lysates using eIF5A Rabbit mAb (CAB4414) at 1:1000 dilution. Secondary antibody: HRP-conjugated Goat anti-Rabbit IgG (H+L) (CABS014) at 1:10000 dilution. Lysates/proteins: 25μg per lane. Blocking buffer: 3% nonfat dry milk in TBST. Detection: ECL Basic Kit (AbGn00020). Exposure time: 1s.