The Emerin/EMD Monoclonal Antibody (CAB4187) is a high-quality antibody developed for reliable detection and analysis of target proteins. Emerin is a key component of the nuclear envelope and plays a critical role in various cellular processes, including nuclear structure maintenance and gene regulation.This antibody is generated from rabbits and has been extensively validated for use in various applications, including Western blot and immunofluorescence. It binds specifically to the Emerin protein, enabling accurate detection and analysis in a wide range of cell types.
This antibody is validated for use in WB, IHC-P, IF/ICC, ELISA applications and has demonstrated reactivity against Human, Mouse, Rat samples.
Product Name:
Emerin/EMD Monoclonal Antibody
SKU:
CAB4187
Size:
20μL, 100μL
Reactivity:
Human, Mouse, Rat
Clone Number:
ARC0921
Conjugate:
Unconjugated
Immunogen:
Synthetic peptide. This information is considered to be commercially sensitive.
Emerin is a serine-rich nuclear membrane protein and a member of the nuclear lamina-associated protein family. It mediates membrane anchorage to the cytoskeleton. Dreifuss-Emery muscular dystrophy is an X-linked inherited degenerative myopathy resulting from mutation in the emerin gene.
Purification Method
Affinity purification
Gene ID
2010
RRID
AB_2863205
Buffer Information
Store at -20℃. Avoid freeze / thaw cycles. Buffer: PBS containing 50% glycerol and 0.05% BSA, preserved with proclin300 or sodium azide, pH 7.3.
Western blot analysis of various lysates using Emerin/EMD Rabbit mAb (CAB4187) at 1:1000 dilution. Secondary antibody: HRP-conjugated Goat anti-Rabbit IgG (H+L) (CABS014) at 1:10000 dilution. Lysates/proteins: 25μg per lane. Blocking buffer: 3% nonfat dry milk in TBST. Detection: ECL Basic Kit (AbGn00020). Exposure time: 90s.
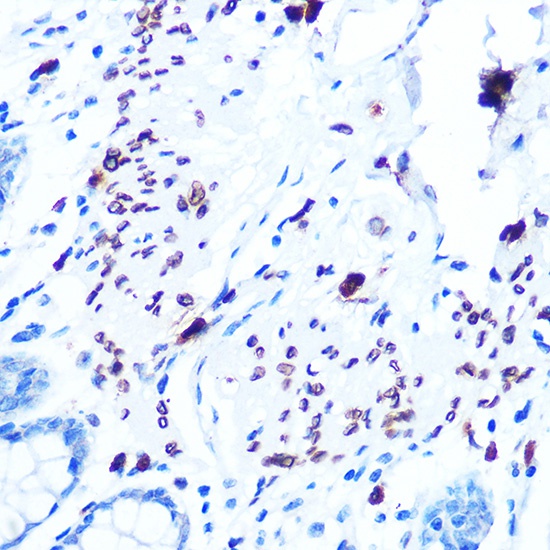
Immunohistochemistry analysis of paraffin-embedded Human colon using Emerin/EMD Rabbit mAb (CAB4187) at dilution of 1:100 (40x lens). Microwave antigen retrieval performed with 0.01M PBS Buffer (pH 7.2) prior to IHC staining.