The ENTPD6 Antibody (CAB15655) is a high-quality antibody developed for reliable detection and analysis of target proteins. This antibody, produced in rabbits, shows high specificity and sensitivity towards human samples, making it suitable for Western blot applications. By binding to the ENTPD6 protein, this antibody allows for the detection and analysis of ENTPD6 expression in various cell types, making it ideal for studies in cell biology, metabolism, and signal transduction pathways.ENTPD6, also known as NTPDase 6, plays a crucial role in regulating extracellular nucleotide levels and modulating purinergic signaling cascades.
This antibody is validated for use in WB, IHC-P, ELISA applications and has demonstrated reactivity against Human, Mouse, Rat samples.
Product Name:
ENTPD6 Antibody
SKU:
CAB15655
Size:
20μL, 100μL
Reactivity:
Human, Mouse, Rat
Conjugate:
Unconjugated
Immunogen:
Recombinant protein (or fragment).This information is considered to be commercially sensitive.
Golgi Apparatus Membrane, Secreted, Single-Pass Type Ii Membrane Protein.
Calculated MW:
53kDa
Observed MW:
45kDa
ENTPD6 is similar to E-type nucleotidases (NTPases). NTPases, such as CD39, mediate catabolism of extracellular nucleotides. ENTPD6 contains 4 apyrase-conserved regions which are characteristic of NTPases. Alternative splicing results in multiple transcript variants encoding different isoforms.
Purification Method
Affinity purification
Gene ID
955
RRID
AB_2763062
Buffer Information
Store at -20℃. Avoid freeze / thaw cycles. Buffer: PBS with 0.01% thimerosal,50% glycerol,pH7.3.
Western blot analysis of various lysates using ENTPD6 Rabbit pAb (CAB15655) at 1:1000 dilution. Secondary antibody: HRP-conjugated Goat anti-Rabbit IgG (H+L) (CABS014) at 1:10000 dilution. Lysates/proteins: 25μg per lane. Blocking buffer: 3% nonfat dry milk in TBST. Detection: ECL Basic Kit (AbGn00020). Exposure time: 90s.
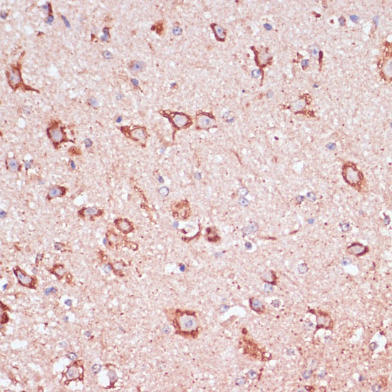
Immunohistochemistry analysis of paraffin-embedded Rat brain using ENTPD6 Rabbit pAb (CAB15655) at dilution of 1:100 (40x lens). Microwave antigen retrieval performed with 0.01M PBS Buffer (pH 7.2) prior to IHC staining.
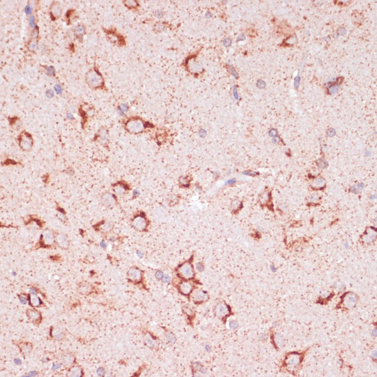
Immunohistochemistry analysis of paraffin-embedded Mouse spinal cord using ENTPD6 Rabbit pAb (CAB15655) at dilution of 1:100 (40x lens). Microwave antigen retrieval performed with 0.01M PBS Buffer (pH 7.2) prior to IHC staining.