The EpCAM Monoclonal Antibody (CAB1107) is a high-quality antibody developed for reliable detection and analysis of target proteins. This antibody, generated in rabbits, offers high specificity and sensitivity for detecting EpCAM in human samples, making it ideal for use in applications such as immunohistochemistry and flow cytometry.EpCAM, also known as CD326, is a biomarker associated with various cancers, including breast, colon, and lung cancer. Its overexpression has been linked to tumor progression and metastasis, making it a promising target for cancer therapy and diagnosis.
This antibody is validated for use in WB, IHC-P, ELISA applications and has demonstrated reactivity against Human, Mouse, Rat samples.
Product Name:
EpCAM Monoclonal Antibody
SKU:
CAB1107
Size:
20μL, 100μL
Reactivity:
Human, Mouse, Rat
Clone Number:
ARC0521
Conjugate:
Unconjugated
Immunogen:
Recombinant protein (or fragment).This information is considered to be commercially sensitive.
Cell Junction, Lateral Cell Membrane, Single-Pass Type I Membrane Protein, Tight Junction.
Calculated MW:
35kDa
Observed MW:
40kDa
This gene encodes a carcinoma-associated antigen and is a member of a family that includes at least two type I membrane proteins. This antigen is expressed on most normal epithelial cells and gastrointestinal carcinomas and functions as a homotypic calcium-independent cell adhesion molecule. The antigen is being used as a target for immunotherapy treatment of human carcinomas. Mutations in this gene result in congenital tufting enteropathy.
Purification Method
Affinity purification
Gene ID
4072
RRID
AB_2861499
Buffer Information
Store at -20℃. Avoid freeze / thaw cycles. Buffer: PBS containing 50% glycerol and 0.05% BSA, preserved with proclin300 or sodium azide, pH 7.3.
Western blot analysis of various lysates using EpCAM Rabbit mAb (CAB1107) at 1:1000 dilution. Secondary antibody: HRP-conjugated Goat anti-Rabbit IgG (H+L) (CABS014) at 1:10000 dilution. Lysates/proteins: 25μg per lane. Blocking buffer: 3% nonfat dry milk in TBST. Detection: ECL Enhanced Kit (AbGn00021). Exposure time: 3min.
Immunohistochemistry analysis of paraffin-embedded Human colon carcinoma tissue using EpCAM Rabbit mAb (CAB1107) at dilution of 1:100 (40x lens). Microwave antigen retrieval performed with 0.01M PBS Buffer (pH 7.2) prior to IHC staining.
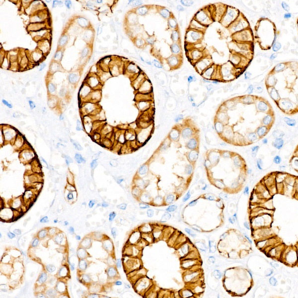
Immunohistochemistry analysis of paraffin-embedded Human kidney tissue using EpCAM Rabbit mAb (CAB1107) at dilution of 1:100 (40x lens). Microwave antigen retrieval performed with 0.01M PBS Buffer (pH 7.2) prior to IHC staining.
Immunohistochemistry analysis of paraffin-embedded Human liver cancer tissue using EpCAM Rabbit mAb (CAB1107) at dilution of 1:100 (40x lens). Microwave antigen retrieval performed with 0.01M PBS Buffer (pH 7.2) prior to IHC staining.