The EPS15 Antibody (CAB9814) is a high-quality antibody developed for reliable detection and analysis of target proteins. This antibody, generated in rabbits, exhibits high specificity and sensitivity towards EPS15 in human samples, making it ideal for Western blot applications.EPS15 is involved in regulating the internalization of cell surface receptors and the formation of clathrin-coated pits, essential processes for cell signaling and homeostasis. Dysregulation of EPS15 has been linked to various diseases, including cancer and neurodegenerative disorders, highlighting its importance in cellular function.
This antibody is validated for use in WB, IF/ICC, ELISA applications and has demonstrated reactivity against Human, Mouse, Rat samples.
Product Name:
EPS15 Antibody
SKU:
CAB9814
Size:
20μL, 100μL
Reactivity:
Human, Mouse, Rat
Conjugate:
Unconjugated
Immunogen:
Recombinant protein (or fragment).This information is considered to be commercially sensitive.
This gene encodes a protein that is part of the EGFR pathway. The protein is present at clatherin-coated pits and is involved in receptor-mediated endocytosis of EGF. Notably, this gene is rearranged with the HRX/ALL/MLL gene in acute myelogeneous leukemias. Alternative splicing results in multiple transcript variants encoding distinct isoforms.
Purification Method
Affinity purification
Gene ID
2060
RRID
AB_2769344
Buffer Information
Store at -20℃. Avoid freeze / thaw cycles. Buffer: PBS containing 50% glycerol, preserved with proclin300 or sodium azide, pH 7.3.
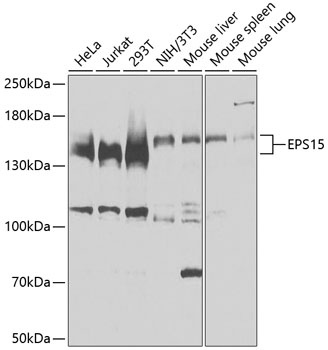
Western blot analysis of various lysates using EPS15 Rabbit pAb (CAB9814) at 1:3000 dilution. Secondary antibody: HRP-conjugated Goat anti-Rabbit IgG (H+L) (CABS014) at 1:10000 dilution. Lysates/proteins: 25μg per lane. Blocking buffer: 3% nonfat dry milk in TBST. Detection: ECL Basic Kit (AbGn00020). Exposure time: 15s.
Immunofluorescence analysis of C6 cells using EPS15 Rabbit pAb (CAB9814) at dilution of 1:200 (40x lens). Secondary antibody: Cy3-conjugated Goat anti-Rabbit IgG (H+L) (CABS007) at 1:500 dilution. Blue: DAPI for nuclear staining.
Immunofluorescence analysis of U2OS cells using EPS15 Rabbit pAb (CAB9814) at dilution of 1:200 (40x lens). Secondary antibody: Cy3-conjugated Goat anti-Rabbit IgG (H+L) (CABS007) at 1:500 dilution. Blue: DAPI for nuclear staining.