The EPS8 Polyclonal Antibody (CAB14730) is a valuable tool for researchers studying EPS8, a signaling protein involved in cell migration, adhesion, and proliferation. This antibody, generated in rabbits, exhibits high reactivity with human samples and has been validated for use in Western blot applications. By specifically binding to the EPS8 protein, this antibody enables precise detection and analysis in a variety of cell types, making it a versatile tool for studies in cell biology and cancer research.EPS8, a key player in cellular processes such as cytoskeleton dynamics and cell signaling, is known to be dysregulated in various cancers, making it a potential target for therapeutic interventions.
Understanding the function and regulation of EPS8 is crucial for unraveling its role in cancer progression and identifying potential treatment strategies. The EPS8 Polyclonal Antibody provides researchers with a reliable tool to investigate the role of EPS8 in cancer and other diseases, advancing our understanding of this important signaling molecule.
Product Name:
EPS8 Rabbit Polyclonal Antibody
SKU:
CAB14730
Size:
20uL, 100uL
Isotype:
IgG
Host Species:
Rabbit
Reactivity:
Human,Mouse,Rat
Immunogen:
Recombinant fusion protein containing a sequence corresponding to amino acids 1-200 of human EPS8 (NP_004438.3).
This gene encodes a member of the EPS8 family. This protein contains one PH domain and one SH3 domain. It functions as part of the EGFR pathway, though its exact role has not been determined. Highly similar proteins in other organisms are involved in the transduction of signals from Ras to Rac and growth factor-mediated actin remodeling. Alternate transcriptional splice variants of this gene have been observed but have not been thoroughly characterized.
Purification Method:
Affinity purification
Gene ID:
2059
Storage Buffer:
Store at -20℃. Avoid freeze / thaw cycles.Buffer: PBS with 0.01% thimerosal,50% glycerol,pH7.3.
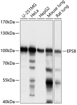
Western blot analysis of various lysates using EPS8 Rabbit pAb (CAB14730) at 1:1000 dilution.Secondary antibody: HRP Goat Anti-Rabbit IgG (H+L) (CABS014) at 1:10000 dilution.Lysates/proteins: 25μg per lane.Blocking buffer: 3% nonfat dry milk in TBST.Detection: ECL Enhanced Kit (AbGn00021).Exposure time: 1s.