The ERP44 Antibody (CAB4526) is a high-quality antibody developed for reliable detection and analysis of target proteins. This antibody, produced in rabbits, has high reactivity with human samples and is validated for use in Western blot applications. By binding specifically to the ERP44 protein, it enables accurate detection and analysis in a variety of cell types, making it ideal for studies in cell biology, protein folding, and disease mechanisms.
This antibody is validated for use in WB, ELISA applications and has demonstrated reactivity against Human, Mouse, Rat samples.
Product Name:
ERP44 Antibody
SKU:
CAB4526
Size:
20μL, 100μL
Reactivity:
Human, Mouse, Rat
Conjugate:
Unconjugated
Immunogen:
Recombinant protein (or fragment).This information is considered to be commercially sensitive.
Recommended starting concentration is 1 μg/mL. Please optimize the concentration based on your specific assay requirements.
Synonyms:
PDIA10, TXNDC4, ERP44
Positive Sample:
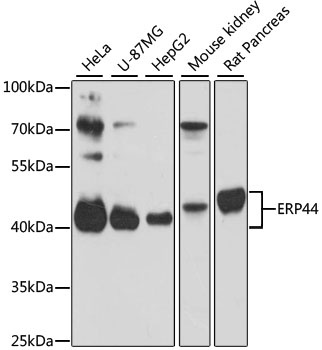
HeLa, U-87MG, HepG2, Mouse kidney, Rat Pancreas
Cellular Localization:
Endoplasmic Reticulum Lumen.
Calculated MW:
47kDa
Observed MW:
40-48kDa
This gene encodes a member of the protein disulfide isomerase (PDI) family of endoplasmic reticulum (ER) proteins. It has an inferred N-terminal signal peptide, a catalytically active thioredoxin (TRX) domain, two TRX-like domains and a C-terminal ER-retention sequence. This protein functions as a pH-regulated chaperone of the secretory pathway and likely plays a role in protein quality control at the endoplasmic reticulum - Golgi interface.
Purification Method
Affinity purification
Gene ID
23071
RRID
AB_2765735
Buffer Information
Store at -20℃. Avoid freeze / thaw cycles. Buffer: PBS with 0.01% thimerosal,50% glycerol,pH7.3.
Western blot analysis of various lysates using ERP44 Rabbit pAb (CAB4526) at 1:3000 dilution. Secondary antibody: HRP-conjugated Goat anti-Rabbit IgG (H+L) (CABS014) at 1:10000 dilution. Lysates/proteins: 25μg per lane. Blocking buffer: 3% nonfat dry milk in TBST. Detection: ECL Basic Kit (AbGn00020). Exposure time: 30s.