The SRRM1 Antibody (CAB6066) is a high-quality antibody developed for reliable detection and analysis of target proteins. This antibody, produced in rabbits, exhibits high specificity and sensitivity in detecting SRRM1 in human samples, making it ideal for use in Western blot applications. By targeting the SRRM1 protein, this antibody enables researchers to analyze its expression and function in various cell types, particularly in the context of gene regulation and RNA splicing mechanisms.SRRM1 plays a crucial role in the splicing of pre-mRNA, which is essential for modulating gene expression and protein diversity. Dysregulation of SRRM1 has been implicated in various diseases, including cancer and neurodevelopmental disorders, highlighting its significance in cellular processes.
This antibody is validated for use in WB, IHC-P, ELISA applications and has demonstrated reactivity against Human, Mouse samples.
Product Name:
SRRM1 Antibody
SKU:
CAB6066
Size:
20μL, 100μL
Reactivity:
Human, Mouse
Conjugate:
Unconjugated
Immunogen:
Recombinant protein (or fragment).This information is considered to be commercially sensitive.
Enables RNA binding activity. Predicted to be involved in mRNA splicing, via spliceosome. Located in nuclear speck. Part of catalytic step 2 spliceosome. Biomarker of gestational diabetes.
Purification Method
Affinity purification
Gene ID
10250
RRID
AB_2766734
Buffer Information
Store at -20℃. Avoid freeze / thaw cycles. Buffer: PBS with 0.01% thimerosal,50% glycerol,pH7.3.
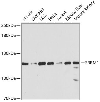
Western blot analysis of various lysates using SRAbGn1 Rabbit pAb (CAB6066) at 1:3000 dilution. Secondary antibody: HRP-conjugated Goat anti-Rabbit IgG (H+L) (CABS014) at 1:10000 dilution. Lysates/proteins: 25μg per lane. Blocking buffer: 3% nonfat dry milk in TBST. Detection: ECL Basic Kit (AbGn00020). Exposure time: 90s.
Immunohistochemistry analysis of paraffin-embedded Human esophageal cancer using SRAbGn1 Rabbit pAb (CAB6066) at dilution of 1:400 (40x lens). High pressure antigen retrieval performed with 0.01M Citrate buffer (pH 6.0) prior to IHC staining.