The ESPN Antibody (CAB15908) is a high-quality antibody developed for reliable detection and analysis of target proteins. This antibody, raised in rabbits, is highly specific for human samples and has been validated for Western blot applications. By binding to the ESPN protein, it allows for the detection and analysis of ESPN in various cell types, making it ideal for studies in immunology and cancer research.ESPN, also known as an immune inhibitory receptor, plays a critical role in immune homeostasis by regulating inflammation and inhibiting allergic reactions.
This antibody is validated for use in WB, IHC-P, ELISA applications and has demonstrated reactivity against Human, Mouse, Rat samples.
Product Name:
ESPN Antibody
SKU:
CAB15908
Size:
20μL, 100μL
Reactivity:
Human, Mouse, Rat
Conjugate:
Unconjugated
Immunogen:
Recombinant protein (or fragment).This information is considered to be commercially sensitive.
This gene encodes a multifunctional actin-bundling protein. It plays a major role in regulating the organization, dimensions, dynamics, and signaling capacities of the actin filament-rich, microvillus-type specializations that mediate sensory transduction in various mechanosensory and chemosensory cells. Mutations in this gene are associated with autosomal recessive neurosensory deafness, and autosomal dominant sensorineural deafness without vestibular involvement.
Purification Method
Affinity purification
Gene ID
83715
RRID
AB_2763339
Buffer Information
Store at -20℃. Avoid freeze / thaw cycles. Buffer: PBS with 0.01% thimerosal,50% glycerol,pH7.3.
Western blot analysis of various lysates using ESPN Rabbit pAb (CAB15908) at 1:1000 dilution. Secondary antibody: HRP-conjugated Goat anti-Rabbit IgG (H+L) (CABS014) at 1:10000 dilution. Lysates/proteins: 25μg per lane. Blocking buffer: 3% nonfat dry milk in TBST. Detection: ECL Basic Kit (AbGn00020). Exposure time: 10s.
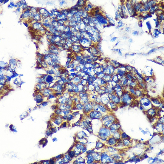
Immunohistochemistry analysis of paraffin-embedded Human colon carcinoma using ESPN Rabbit pAb (CAB15908) at dilution of 1:100 (40x lens). Microwave antigen retrieval performed with 0.01M PBS Buffer (pH 7.2) prior to IHC staining.