The ESRRA Antibody (CAB14184) is a high-quality antibody developed for reliable detection and analysis of target proteins. This antibody, produced in rabbits, is highly specific for detection of ESrrA in human samples and is validated for use in applications such as immunohistochemistry and immunofluorescence.ESrrA, also known as estrogen-related receptor alpha, plays a key role in mediating estrogen signaling and is implicated in diseases like breast cancer and metabolic disorders.
This antibody is validated for use in WB, IHC-P, IF/ICC, ELISA, IF-P applications and has demonstrated reactivity against Human, Mouse, Rat samples.
Product Name:
ESRRA Antibody
SKU:
CAB14184
Size:
20μL, 100μL
Reactivity:
Human, Mouse, Rat
Conjugate:
Unconjugated
Immunogen:
Recombinant protein (or fragment).This information is considered to be commercially sensitive.
Recommended starting concentration is 1 μg/mL. Please optimize the concentration based on your specific assay requirements.
Synonyms:
ERR1, ERRa, ESRL1, NR3B1, ERRalpha, ESRRA
Positive Sample:
293T, Mouse kidney, Mouse heart, Rat heart
Cellular Localization:
Nucleus.
Calculated MW:
46kDa
Observed MW:
46kDa
The protein encoded by this gene is a nuclear receptor that is most closely related to the estrogen receptor. This protein acts as a site-specific transcription factor and interacts with members of the PGC-1 family of transcription cofactors to regulate the expression of most genes involved in cellular energy production as well as in the process of mitochondrial biogenesis. A processed pseudogene of ESRRA is located on chromosome 13q12.1.
Purification Method
Affinity purification
Gene ID
2101
RRID
AB_2761043
Buffer Information
Store at -20℃. Avoid freeze / thaw cycles. Buffer: PBS with 0.09% Sodium azide,50% glycerol,pH7.3.
Western blot analysis of various lysates using ESRRA Rabbit pAb (CAB14184) at 1:1000 dilution. Secondary antibody: HRP-conjugated Goat anti-Rabbit IgG (H+L) (CABS014) at 1:10000 dilution. Lysates/proteins: 25μg per lane. Blocking buffer: 3% nonfat dry milk in TBST. Detection: ECL Basic Kit (AbGn00020). Exposure time: 30s.
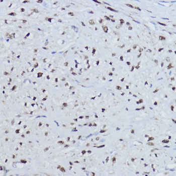
Immunohistochemistry analysis of paraffin-embedded Human uterus using ESRRA Rabbit pAb (CAB14184) at dilution of 1:200 (40x lens). Microwave antigen retrieval performed with 0.01M PBS Buffer (pH 7.2) prior to IHC staining.
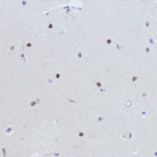
Immunohistochemistry analysis of paraffin-embedded Mouse brain using ESRRA Rabbit pAb (CAB14184) at dilution of 1:200 (40x lens). Microwave antigen retrieval performed with 0.01M PBS Buffer (pH 7.2) prior to IHC staining.
Immunofluorescence analysis of A-431 cells using ESRRA Rabbit pAb (CAB5795) at dilution of 1:20 (40x lens). Secondary antibody: Cy3-conjugated Goat anti-Rabbit IgG (H+L) (CABS007) at 1:500 dilution. Blue: DAPI for nuclear staining.