The FABP3 Antibody (CAB5312) is a high-quality antibody developed for reliable detection and analysis of target proteins. This antibody, produced in rabbits, demonstrates high reactivity with human samples and has been validated for use in Western blot applications. By binding specifically to the FABP3 protein, this antibody allows for accurate detection and analysis in a variety of cell types, making it an essential component in studies related to metabolism, lipid signaling, and cardiovascular disease.FABP3, also known as heart-type fatty acid-binding protein, is involved in the uptake and intracellular transport of fatty acids in cardiac and skeletal muscle cells.
This antibody is validated for use in WB, IHC-P, ELISA, IF-P applications and has demonstrated reactivity against Human, Mouse samples.
Product Name:
FABP3 Antibody
SKU:
CAB5312
Size:
20μL, 100μL
Reactivity:
Human, Mouse
Conjugate:
Unconjugated
Immunogen:
Recombinant protein (or fragment).This information is considered to be commercially sensitive.
Recommended starting concentration is 1 μg/mL. Please optimize the concentration based on your specific assay requirements.
Synonyms:
MDGI, FABP11, H-FABP, M-FABP, O-FABP, FABP3
Positive Sample:
Mouse heart
Cellular Localization:
Cytoplasm.
Calculated MW:
15kDa
Observed MW:
14kDa
The intracellular fatty acid-binding proteins (FABPs) belongs to a multigene family. FABPs are divided into at least three distinct types, namely the hepatic-, intestinal- and cardiac-type. They form 14-15 kDa proteins and are thought to participate in the uptake, intracellular metabolism and/or transport of long-chain fatty acids. They may also be responsible in the modulation of cell growth and proliferation. Fatty acid-binding protein 3 gene contains four exons and its function is to arrest growth of mammary epithelial cells. This gene is a candidate tumor suppressor gene for human breast cancer. Alternative splicing results in multiple transcript variants.
Purification Method
Affinity purification
Gene ID
2170
RRID
AB_2766124
Buffer Information
Store at -20℃. Avoid freeze / thaw cycles. Buffer: PBS containing 50% glycerol, preserved with proclin300 or sodium azide, pH 7.3.
Western blot analysis of lysates from Mouse heart, using FABP3 Rabbit pAb (CAB5312) at 1:600 dilution. Secondary antibody: HRP-conjugated Goat anti-Rabbit IgG (H+L) (CABS014) at 1:10000 dilution. Lysates/proteins: 25μg per lane. Blocking buffer: 3% nonfat dry milk in TBST. Detection: ECL Basic Kit (AbGn00020). Exposure time: 180s.
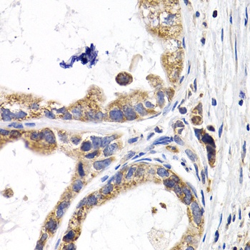
Immunohistochemistry analysis of paraffin-embedded Human stomach cancer using FABP3 Rabbit pAb (CAB5312) at dilution of 1:200 (40x lens). Microwave antigen retrieval performed with 0.01M PBS Buffer (pH 7.2) prior to IHC staining.