FAM149B1 Antibody is a premium polyclonal that offers outstanding performance and reliability for demanding research applications. Rigorously validated for ELISA, WB, IHC, this antibody ensures consistent, reproducible results across multiple experimental platforms. Demonstrates excellent reactivity with Human, Mouse samples, providing researchers with confidence in cross-species compatibility. Conveniently packaged in 50ug format to meet your experimental needs. For optimal performance, store at -20°C or -80°C and maintains stability for 12 months. Backed by rigorous quality control testing to ensure superior performance in your critical research applications.
Product Name:
FAM149B1 Antibody
SKU:
PACO38694
Size:
50μg
Isotype:
IgG
Host Species:
Rabbit
Reactivity:
Human, Mouse
Immunogen:
Recombinant Human Protein FAM149B1 protein (107-528AA)
Immunogen Species:
Homo sapiens (Human)
Uniprot No:
Q96BN6
Form:
Liquid
Tested Applications:
ELISAWBIHC
Recommended Dilution:
Application
Recommended Dilution
WB
1:500-1:2000
IHC
1:20-1:200
Synonyms:
F149B_HUMAN antibody, FAM149B1 antibody, Family with sequence similarity 149 member B1 antibody, KIAA0974 antibody, Protein FAM149B1 antibody
Western blot All lanes: FAM149B1 antibody at 3µg/ml + Mouse liver tissue Secondary Goat polyclonal to rabbit IgG at 1/10000 dilution Predicted band size: 65, 59 kDa Observed band size: 65 kDa
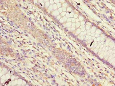
Immunohistochemistry of paraffin-embedded human colon cancer using PACO38694 at dilution of 1:100
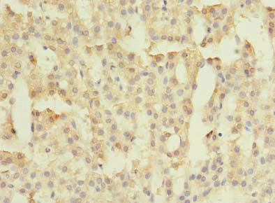
Immunohistochemistry of paraffin-embedded human adrenal gland tissue using PACO38694 at dilution of 1:100