The FAM98A Antibody (CAB15807) is a high-quality antibody developed for reliable detection and analysis of target proteins. This antibody, produced in rabbits, has high specificity for FAM98A in human samples and has been validated for use in Western blot applications.FAM98A is a nuclear protein that has been implicated in the maintenance of genomic stability and regulation of gene expression. Its involvement in key cellular functions makes it a promising target for investigations in fields such as cancer biology, developmental biology, and molecular genetics.
This antibody is validated for use in WB, IHC-P, ELISA applications and has demonstrated reactivity against Human, Mouse, Rat samples.
Product Name:
FAM98A Antibody
SKU:
CAB15807
Size:
20μL, 100μL
Reactivity:
Human, Mouse, Rat
Conjugate:
Unconjugated
Immunogen:
Recombinant protein (or fragment).This information is considered to be commercially sensitive.
Recommended starting concentration is 1 μg/mL. Please optimize the concentration based on your specific assay requirements.
Synonyms:
FAM98A
Positive Sample:
U-87MG, LO2, A-549
Cellular Localization:
Cytoplasm, Nucleus.
Calculated MW:
55kDa
Observed MW:
60kDa
Enables protein methyltransferase activity. Involved in positive regulation of cell population proliferation; positive regulation of gene expression; and protein methylation. Predicted to be part of tRNA-splicing ligase complex.
Purification Method
Affinity purification
Gene ID
25940
RRID
AB_2763229
Buffer Information
Store at -20℃. Avoid freeze / thaw cycles. Buffer: PBS with 0.09% Sodium azide,50% glycerol,pH7.3.
Western blot analysis of various lysates using FAM98A Rabbit pAb (CAB15807) at 1:1000 dilution. Secondary antibody: HRP-conjugated Goat anti-Rabbit IgG (H+L) (CABS014) at 1:10000 dilution. Lysates/proteins: 25μg per lane. Blocking buffer: 3% nonfat dry milk in TBST. Detection: ECL Basic Kit (AbGn00020). Exposure time: 10s.
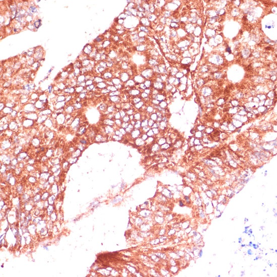
Immunohistochemistry analysis of paraffin-embedded Human colon carcinoma using FAM98A Rabbit pAb (CAB15807) at dilution of 1:100 (40x lens). Microwave antigen retrieval performed with 0.01M PBS Buffer (pH 7.2) prior to IHC staining.