The FASTKD5 Antibody (CAB17747) is a high-quality antibody developed for reliable detection and analysis of target proteins. This rabbit polyclonal antibody is highly specific for Fastkd5 in human samples and has been validated for use in Western blot applications. By binding to Fastkd5, this antibody allows for the detection and analysis of this protein in various cell types, making it ideal for studies in mitochondrial biology and RNA metabolism.Fastkd5 is known to play a critical role in the regulation of mitochondrial RNA processing and the maintenance of mitochondrial function. Dysregulation of Fastkd5 has been implicated in various diseases, including cancer and neurodegenerative disorders.
This antibody is validated for use in WB, IF/ICC, ELISA applications and has demonstrated reactivity against Human, Mouse, Rat samples.
Product Name:
FASTKD5 Antibody
SKU:
CAB17747
Size:
20μL, 100μL
Reactivity:
Human, Mouse, Rat
Conjugate:
Unconjugated
Immunogen:
Recombinant protein (or fragment).This information is considered to be commercially sensitive.
Enables rRNA binding activity. Involved in mitochondrial RNA processing. Located in mitochondrial nucleoid and ribonucleoprotein granule.
Purification Method
Affinity purification
Gene ID
60493
RRID
AB_2769419
Buffer Information
Store at -20℃. Avoid freeze / thaw cycles. Buffer: PBS with 0.01% thimerosal,50% glycerol,pH7.3.
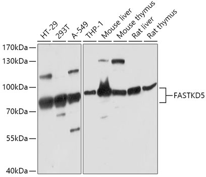
Western blot analysis of various lysates using FASTKD5 Rabbit pAb (CAB17747) at 1:1000 dilution. Secondary antibody: HRP-conjugated Goat anti-Rabbit IgG (H+L) (CABS014) at 1:10000 dilution. Lysates/proteins: 25μg per lane. Blocking buffer: 3% nonfat dry milk in TBST. Detection: ECL Basic Kit (AbGn00020). Exposure time: 90s.