The FBN1 Antibody (CAB16677) is a high-quality antibody developed for reliable detection and analysis of target proteins. This antibody, produced in rabbits, is highly reactive with human samples and is validated for use in various applications, including Western blot and immunohistochemistry.Fibrillin-1 is a key component of microfibrils in connective tissues, playing a critical role in maintaining the structural integrity of tissues and organs. Mutations in the FBN1 gene are associated with various genetic disorders, including Marfan syndrome, highlighting the importance of studying this protein in both normal and pathological conditions.
This antibody is validated for use in WB, IHC-P, IF/ICC, ELISA applications and has demonstrated reactivity against Human, Mouse, Rat samples.
Product Name:
FBN1 Antibody
SKU:
CAB16677
Size:
20μL, 100μL
Reactivity:
Human, Mouse, Rat
Immunogen:
Recombinant protein (or fragment).This information is considered to be commercially sensitive.
This gene encodes a member of the fibrillin family of proteins. The encoded preproprotein is proteolytically processed to generate two proteins including the extracellular matrix component fibrillin-1 and the protein hormone asprosin. Fibrillin-1 is an extracellular matrix glycoprotein that serves as a structural component of calcium-binding microfibrils. These microfibrils provide force-bearing structural support in elastic and nonelastic connective tissue throughout the body. Asprosin, secreted by white adipose tissue, has been shown to regulate glucose homeostasis. Mutations in this gene are associated with Marfan syndrome and the related MASS phenotype, as well as ectopia lentis syndrome, Weill-Marchesani syndrome, Shprintzen-Goldberg syndrome and neonatal progeroid syndrome.
Purification Method
Affinity purification
Gene ID
2200
RRID
AB_2769423
Buffer Information
Store at -20℃. Avoid freeze / thaw cycles. Buffer: PBS containing 50% glycerol, preserved with proclin300 or sodium azide, pH 7.3.
Western blot analysis of lysates from Rat pancreas, using Fibrillin 1 Rabbit pAb (CAB16677) at 1:1000 dilution. Secondary antibody: HRP-conjugated Goat anti-Rabbit IgG (H+L) (CABS014) at 1:10000 dilution. Lysates/proteins: 25μg per lane. Blocking buffer: 3% nonfat dry milk in TBST. Detection: ECL Basic Kit (AbGn00020). Exposure time: 90s.
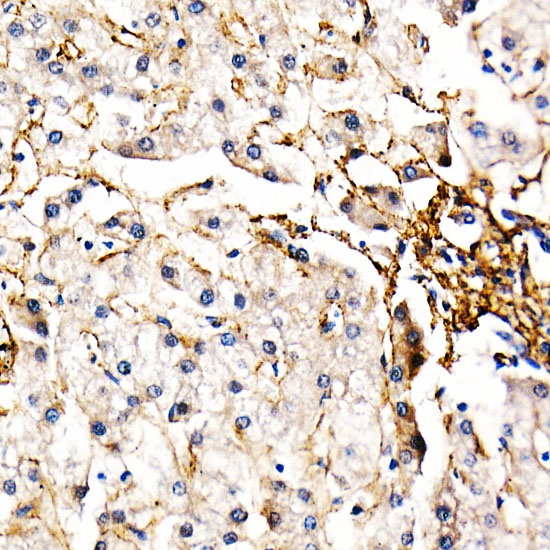
Immunohistochemistry analysis of paraffin-embedded Human liver using Fibrillin 1 Rabbit pAb (CAB16677) at dilution of 1:50 (40x lens). High pressure antigen retrieval performed with 0.01M Citrate buffer (pH 6.0) prior to IHC staining.
Immunofluorescence analysis of C6 cells using Fibrillin 1 Rabbit pAb (CAB16677) at dilution of 1:100 (40x lens). Secondary antibody: Cy3-conjugated Goat anti-Rabbit IgG (H+L) (CABS007) at 1:500 dilution. Blue: DAPI for nuclear staining.
Immunofluorescence analysis of NIH-3T3 cells using Fibrillin 1 Rabbit pAb (CAB16677) at dilution of 1:100 (40x lens). Secondary antibody: Cy3-conjugated Goat anti-Rabbit IgG (H+L) (CABS007) at 1:500 dilution. Blue: DAPI for nuclear staining.