The FERMT2 Antibody (CAB8709) is a high-quality antibody developed for reliable detection and analysis of target proteins. The antibody, generated in rabbits, exhibits high specificity and sensitivity towards human samples and is ideal for use in Western blot assays. By binding to the FERMT2 protein, this antibody enables accurate detection and analysis in a variety of cell types, making it essential for studies in cell biology, developmental biology, and cancer research.
This antibody is validated for use in WB, IHC-P, ELISA applications and has demonstrated reactivity against Human, Mouse, Rat samples.
Product Name:
FERMT2 Antibody
SKU:
CAB8709
Size:
20μL, 100μL
Reactivity:
Human, Mouse, Rat
Conjugate:
Unconjugated
Immunogen:
Recombinant protein (or fragment).This information is considered to be commercially sensitive.
Enables several functions, including actin binding activity; phosphatidylinositol-3,4,5-trisphosphate binding activity; and type I transforming growth factor beta receptor binding activity. Involved in several processes, including cell surface receptor signaling pathway; positive regulation of cell differentiation; and positive regulation of cellular component biogenesis. Acts upstream of or within cell adhesion and protein localization to cell junction. Located in cytosol; focal adhesion; and nucleoplasm. Is extrinsic component of cytoplasmic side of plasma membrane. Part of adherens junction and plasma membrane. Biomarker of acute myeloid leukemia.
Purification Method
Affinity purification
Gene ID
10979
RRID
AB_2769452
Buffer Information
Store at -20℃. Avoid freeze / thaw cycles. Buffer: PBS containing 50% glycerol, preserved with proclin300 or sodium azide, pH 7.3.
Western blot analysis of various lysates using FERMT2 Rabbit pAb (CAB8709) at 1:1000 dilution. Secondary antibody: HRP-conjugated Goat anti-Rabbit IgG (H+L) (CABS014) at 1:10000 dilution. Lysates/proteins: 25μg per lane. Blocking buffer: 3% nonfat dry milk in TBST. Detection: ECL Basic Kit (AbGn00020). Exposure time: 5s.
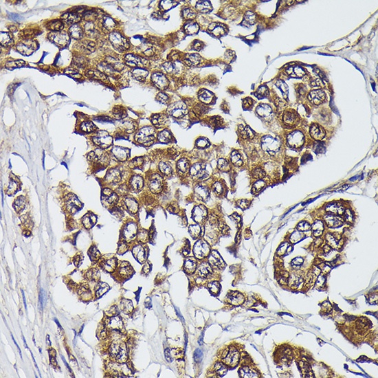
Immunohistochemistry analysis of paraffin-embedded Human breast cancer using FERMT2 Rabbit pAb (CAB8709) at dilution of 1:300 (40x lens). High pressure antigen retrieval performed with 0.01M Citrate buffer (pH 6.0) prior to IHC staining.