The FPS/FDPS Monoclonal Antibody (CAB23475) is a high-quality antibody developed for reliable detection and analysis of target proteins. This monoclonal antibody, produced using innovative technologies, specifically targets the FPS/FDPS protein and has been validated for use in various applications, including Western blot and immunohistochemistry.The FPS/FDPS protein is a critical enzyme involved in the production of isoprenoids, which are essential for cell growth and survival. Dysregulation of the mevalonate pathway, including abnormalities in FPS/FDPS function, has been implicated in various diseases, such as cancer and metabolic disorders.
This antibody is validated for use in WB, ELISA applications and has demonstrated reactivity against Human, Mouse, Rat samples.
Product Name:
FPS/FDPS Monoclonal Antibody
SKU:
CAB23475
Size:
20μL, 100μL
Reactivity:
Human, Mouse, Rat
Clone Number:
ARC56378
Conjugate:
Unconjugated
Immunogen:
Recombinant protein (or fragment).This information is considered to be commercially sensitive.
Sequence:
Email for sequence
Tested Applications:
WBELISA
Recommended Dilution:
WB
1:2000 - 1:20000
ELISA
Recommended starting concentration is 1 μg/mL. Please optimize the concentration based on your specific assay requirements.
Synonyms:
FPS, FPPS, POROK9, FPS/FDPS
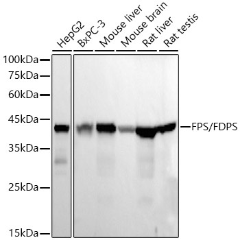
Positive Sample:
HepG2, BxPC-3, Mouse liver, Mouse brain, Rat liver, Rat testis
Cellular Localization:
Cytoplasm.
Calculated MW:
48kDa
Observed MW:
41kDa
This gene encodes an enzyme that catalyzes the production of geranyl pyrophosphate and farnesyl pyrophosphate from isopentenyl pyrophosphate and dimethylallyl pyrophosphate. The resulting product, farnesyl pyrophosphate, is a key intermediate in cholesterol and sterol biosynthesis, a substrate for protein farnesylation and geranylgeranylation, and a ligand or agonist for certain hormone receptors and growth receptors. Drugs that inhibit this enzyme prevent the post-translational modifications of small GTPases and have been used to treat diseases related to bone resorption. Multiple pseudogenes have been found on chromosomes 1, 7, 14, 15, 21 and X. Multiple transcript variants encoding different isoforms have been found for this gene.
Purification Method
Affinity purification
Gene ID
2224
Buffer Information
Store at -20℃. Avoid freeze / thaw cycles. Buffer: PBS containing 50% glycerol and 0.05% BSA, preserved with proclin300 or sodium azide, pH 7.3.
Western blot analysis of various lysates, using FPS/FDPS Rabbit mAb (CAB23475) at 1:20000 dilution. Secondary antibody: HRP-conjugated Goat anti-Rabbit IgG (H+L) (CABS014) at 1:10000 dilution. Lysates/proteins: 25μg per lane. Blocking buffer: 3% nonfat dry milk in TBST. Detection: ECL Basic Kit (AbGn00020). Exposure time: 30s.