The DP1/TFDP1 Monoclonal Antibody (CAB5214) is a high-quality antibody developed for reliable detection and analysis of target proteins. This antibody, developed in rabbits, is highly specific to human samples and has been validated for use in Western blot applications. By targeting the DP1 protein, this antibody enables precise detection and analysis in a variety of cell types, making it ideal for studies in immunology and cancer research.DP1, also known as Prostaglandin D2 receptor 1, plays a crucial role in modulating immune responses and inflammation.
This antibody is validated for use in WB, IHC-P, ELISA applications and has demonstrated reactivity against Human, Rat samples.
Product Name:
DP1/TFDP1 Monoclonal Antibody
SKU:
CAB5214
Size:
20μL, 100μL
Reactivity:
Human, Rat
Clone Number:
ARC1202
Conjugate:
Unconjugated
Immunogen:
Synthetic peptide. This information is considered to be commercially sensitive.
Recommended starting concentration is 1 μg/mL. Please optimize the concentration based on your specific assay requirements.
Synonyms:
DP1, DILC, Dp-1, DRTF1, DP1/TFDP1
Positive Sample:
HeLa, RD, Raji
Cellular Localization:
Nucleus.
Calculated MW:
45kDa
Observed MW:
50kDa
This gene encodes a member of a family of transcription factors that heterodimerize with E2F proteins to enhance their DNA-binding activity and promote transcription from E2F target genes. The encoded protein functions as part of this complex to control the transcriptional activity of numerous genes involved in cell cycle progression from G1 to S phase. Alternative splicing results in multiple transcript variants. Pseudogenes of this gene are found on chromosomes 1, 15, and X.
Purification Method
Affinity purification
Gene ID
7027
RRID
AB_2863487
Buffer Information
Store at -20℃. Avoid freeze / thaw cycles. Buffer: PBS containing 50% glycerol and 0.05% BSA, preserved with proclin300 or sodium azide, pH 7.3.
Western blot analysis of various lysates using DP1/TFDP1 Rabbit mAb (CAB5214) at 1:1000 dilution. Secondary antibody: HRP-conjugated Goat anti-Rabbit IgG (H+L) (CABS014) at 1:10000 dilution. Lysates/proteins: 25μg per lane. Blocking buffer: 3% nonfat dry milk in TBST. Detection: ECL Basic Kit (AbGn00020). Exposure time: 60s.
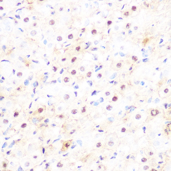
Immunohistochemistry analysis of paraffin-embedded Rat ovary using DP1/TFDP1 Rabbit mAb (CAB5214) at dilution of 1:100 (40x lens). Microwave antigen retrieval performed with 0.01M Tris/EDTA Buffer (pH 9.0) prior to IHC staining.