The FZD9 Antibody (CAB8311) is a high-quality antibody developed for reliable detection and analysis of target proteins. This antibody, raised in rabbits, is highly specific to human samples and has been validated for use in Western blot applications. By binding to the Frizzled 9 protein, this antibody allows for the detection and analysis of Frizzled 9 expression in various cell types, making it ideal for studies in developmental biology, cancer research, and regenerative medicine.Frizzled 9 is known to play a crucial role in the regulation of cell proliferation, differentiation, and migration, making it a key player in various biological processes.
This antibody is validated for use in WB, ELISA applications and has demonstrated reactivity against Human, Mouse, Rat samples.
Product Name:
FZD9 Antibody
SKU:
CAB8311
Size:
20μL, 100μL
Reactivity:
Human, Mouse, Rat
Conjugate:
Unconjugated
Immunogen:
Recombinant protein (or fragment).This information is considered to be commercially sensitive.
Members of the 'frizzled' gene family encode 7-transmembrane domain proteins that are receptors for Wnt signaling proteins. The FZD9 gene is located within the Williams syndrome common deletion region of chromosome 7, and heterozygous deletion of the FZD9 gene may contribute to the Williams syndrome phenotype. FZD9 is expressed predominantly in brain, testis, eye, skeletal muscle, and kidney.
Purification Method
Affinity purification
Gene ID
8326
RRID
AB_2769546
Buffer Information
Store at -20℃. Avoid freeze / thaw cycles. Buffer: PBS containing 50% glycerol, preserved with proclin300 or sodium azide, pH 7.3.
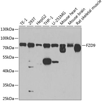
Western blot analysis of various lysates using FZD9 Rabbit pAb (CAB8311) at 1:1000 dilution. Secondary antibody: HRP-conjugated Goat anti-Rabbit IgG (H+L) (CABS014) at 1:10000 dilution. Lysates/proteins: 25μg per lane. Blocking buffer: 3% nonfat dry milk in TBST. Detection: ECL Basic Kit (AbGn00020). Exposure time: 90s.