The FSP1/S100A4 Polyclonal Antibody (CAB21808) is a high-quality antibody developed for reliable detection and analysis of target proteins. This antibody, produced in rabbits, is highly specific to human samples and is validated for use in Western blot applications. By binding to the FSP1 and S100A4 proteins, this antibody allows for accurate detection and analysis in a wide range of cell types, making it ideal for studies in cancer biology and tumor metastasis.FSP1 and S100A4 play key roles in promoting epithelial to mesenchymal transition (EMT) and enhancing tumor cell migration and invasion.
This antibody is validated for use in WB, IHC-P, IF/ICC, ELISA applications and has demonstrated reactivity against Human, Mouse, Rat samples.
Product Name:
FSP1/S100A4 Polyclonal Antibody
SKU:
CAB21808
Size:
20μL, 100μL
Reactivity:
Human, Mouse, Rat
Conjugate:
Unconjugated
Immunogen:
Recombinant protein (or fragment).This information is considered to be commercially sensitive.
Extracellular Exosome, Extracellular Region, Extracellular Space, Neuron Projection, Nucleus, Perinuclear Region Of Cytoplasm.
Calculated MW:
12kDa
Observed MW:
Refertofigures
The protein encoded by this gene is a member of the S100 family of proteins containing 2 EF-hand calcium-binding motifs. S100 proteins are localized in the cytoplasm and/or nucleus of a wide range of cells, and involved in the regulation of a number of cellular processes such as cell cycle progression and differentiation. S100 genes include at least 13 members which are located as a cluster on chromosome 1q21. This protein may function in motility, invasion, and tubulin polymerization. Chromosomal rearrangements and altered expression of this gene have been implicated in tumor metastasis. Multiple alternatively spliced variants, encoding the same protein, have been identified.
Purification Method
Affinity purification
Gene ID
6275
Buffer Information
Store at -20℃. Avoid freeze / thaw cycles. Buffer: PBS containing 50% glycerol, preserved with proclin300 or sodium azide, pH 7.3.
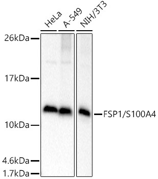
Western blot analysis of various lysates using FSP1/S100A4 Rabbit pAb (CAB21808) at 1:1000 dilution. Secondary antibody: HRP-conjugated Goat anti-Rabbit IgG (H+L) (CABS014) at 1:10000 dilution. Lysates/proteins: 25μg per lane. Blocking buffer: 3% nonfat dry milk in TBST. Detection: ECL Basic Kit (AbGn00020). Exposure time: 3s.
Immunohistochemistry analysis of paraffin-embedded Human colon using FSP1/S100A4 Rabbit pAb (CAB21808) at dilution of 1:100 (40x lens). High pressure antigen retrieval performed with 0.01M Citrate buffer (pH 6.0) prior to IHC staining.